• Tel: 858.663.9055
  • SeparatorEmail: info@nsjbio.com
  • Tel: 858.663.9055
  • Email: info@nsjbio.com
Home >> Antibodies >> CD44 Antibody / HCAM

CD44 Antibody / HCAM [clone DF1485] (V3012)

  Catalog No Formulation Size Price (USD)  
Image V3012-100UG 0.2 mg/ml in 1X PBS with 0.1 mg/ml BSA (US sourced) and 0.05% sodium azide 100 ug 539
Image
V3012-20UG 0.2 mg/ml in 1X PBS with 0.1 mg/ml BSA (US sourced) and 0.05% sodium azide 20 ug 249
Image
V3012SAF-100UG 1 mg/ml in 1X PBS; BSA free, sodium azide free 100 ug 539
Image
V3012IHC-7ML Prediluted in 1X PBS with 0.1 mg/ml BSA (US sourced) and 0.05% sodium azide; *For IHC use only* 7 ml 539
Bulk quote request
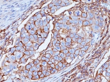
IHC analysis of formalin-fixed, paraffin-embedded human breast carcinoma stained with CD44 antibody (clone DF1485).
Western blot testing of human U937 cells with CD44 antibody (clone DF1485). Predicted molecular weight: 80-95 kDa.
Immunofluorescence staining of human HeLa cells with CD44 antibody (green, clone DF1485) and Reddot nuclear stain (red).
SDS-PAGE analysis of purified, BSA-free CD44 antibody (clone DF1485) as confirmation of integrity and purity.
Availability 1-3 business days
Species Reactivity Human, Mouse
Format Purified
Clonality Monoclonal (mouse origin)
Isotype Mouse IgG1, kappa
Clone Name DF1485
Purity Protein G affinity chromatography
UniProt P16070
Localization Cell surface, cytoplasmic
Applications Western Blot : 1-2ug/ml
Immunofluorescence : 1-2ug/ml
Immunohistochemistry (FFPE) : 1-2ug/ml for 30 min at RT
Limitations This CD44 antibody is available for research use only.
Review this product on BioCompare and get a $20 Amazon gift card

Related Products

Description

CD44 antibody clone DF1485 is a monoclonal antibody that detects CD44, a cell surface glycoprotein expressed on lymphocytes, epithelial cells, endothelial cells, and many types of tumor cells. CD44 serves as a receptor for hyaluronic acid and participates in adhesion, migration, and signal transduction. Its activity influences immune regulation, tissue repair, and tumor progression. NSJ Bioreagents provides this antibody for immunology, oncology, and stem cell research.

The antibody produces strong membranous staining in epithelial and immune cells, reflecting CD44’s widespread distribution. In immunology, CD44 detection supports studies of lymphocyte homing and activation. The molecule plays a central role in T cell trafficking to lymphoid tissues and sites of inflammation. By detecting CD44, researchers can clarify pathways that control adaptive and innate immune responses.

In oncology, CD44 antibody clone DF1485 has been widely applied to study tumor biology. CD44 is frequently upregulated in carcinomas of the breast, colon, lung, and prostate. Its expression has been linked to cancer stem cell populations, invasion, and metastasis. The antibody enables characterization of tumors according to CD44 status, providing insight into prognosis and therapeutic resistance.

In pathology, CD44 is often included in diagnostic panels to help distinguish between hematopoietic and non-hematopoietic neoplasms. It provides supporting evidence in the classification of lymphomas and leukemias and has utility in understanding patterns of epithelial tumor spread.

In regenerative medicine, CD44 is recognized as a marker of stem and progenitor cells. The antibody has been used in models of tissue repair and stem cell biology, where CD44 expression reflects regenerative capacity. By highlighting stem-like properties of cells, CD44 detection contributes to research on wound healing, fibrosis, and regenerative therapies.

The antibody has also been employed in developmental biology, where CD44 expression maps tissue remodeling and morphogenesis. Its involvement in extracellular matrix interactions makes it a reliable marker for processes requiring cell adhesion and migration.

Validated in tissue-based and cell-based systems, the antibody consistently produces strong membranous staining with low background. Alternate names include homing receptor antibody, hyaluronan receptor antibody, and lymphocyte homing glycoprotein antibody.

Application Notes

Optimal dilution of the CD44 antibody should be determined by the researcher.

1. Staining of formalin/paraffin tissues requires boiling tissue sections in pH 9 10mM Tris with 1mM EDTA for 10-20 min followed by cooling at RT for 20 min.
2. The prediluted format is supplied in a dropper bottle and is optimized for use in IHC. After epitope retrieval step (if required), drip mAb solution onto the tissue section and incubate at RT for 30 min.

Immunogen

Purified CD44 antigen (PGp-1) from lymphocyte membrane was used as the immunogen for the CD44 antibody.

Storage

Store the CD44 antibody at 2-8oC (with azide) or aliquot and store at -20oC or colder (without azide).

Cross
Bulk Quote Request Form
Name*:
Organization*:
Email*:
Phone Number*:
Catalog No.*:
Comments and Specifics(amount, formulation, etc.)*:
Validation code: Captchapackage Image


Can't read the image? click here to refresh.
    *required field

Your bulk quote request has been submitted successfully!

Please contact us if you have any questions.