• Tel: 858.663.9055
  • SeparatorEmail: info@nsjbio.com
  • Tel: 858.663.9055
  • Email: info@nsjbio.com
Home >> Antibodies >> CD43 Antibody

CD43 Antibody (R31521)

  Catalog No Formulation Size Price (USD)  
Image R31521 0.5mg/ml if reconstituted with 0.2ml sterile DI water 100 ug 439
Bulk quote request
Western blot testing of human Jurkat cell lysate with CD43 antibody. Expected molecular weight: 45-115 kDa depending on glycosylation level.
IHC-P: CD43 antibody testing of human tonsil tissue. HIER: steamed with pH6 citrate buffer.
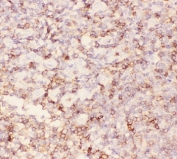
IHC-P: CD43 antibody testing of mouse spleen tissue. HIER: steamed with pH6 citrate buffer.
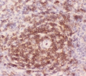
IHC-P: CD43 antibody testing of rat spleen tissue. HIER: steamed with pH6 citrate buffer.
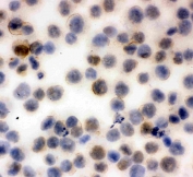
Immunocytochemical staining of FFPE human K562 cells with CD43 antibody. HIER: boil tissue sections in pH6, 10mM citrate buffer, for 10-20 min and allow to cool before testing.
Flow cytometry testing of mouse P3NSI cells with CD43 antibody at 1ug/10^6 cells (blocked with goat sera); Red=cells alone, Green=isotype control, Blue= CD43 antibody.
Flow cytometry testing of rat BRL 3A cells with CD43 antibody at 1ug/10^6 cells (blocked with goat sera); Red=cells alone, Green=isotype control, Blue= CD43 antibody.
Flow cytometry testing of human HL60 cells with CD43 antibody at 1ug/10^6 cells (blocked with goat sera); Red=cells alone, Green=isotype control, Blue= CD43 antibody.
Immunofluorescent staining of FFPE human tonsil tissue with CD43 antibody (green) at 1ug/ml and DAPI nuclear stain (blue). HIER: steam section in pH6 citrate buffer for 20 min.
Western blot testing of CD43 antibody (0.5ug/ml) and recombinant human protein (0.5ng)
Availability 1-3 business days
Species Reactivity Human, Mouse, Rat
Format Antigen affinity purified
Clonality Polyclonal (rabbit origin)
Isotype Rabbit IgG
Purity Antigen affinity
Buffer Lyophilized from 1X PBS with 2.5% BSA and 0.025% sodium azide
Gene ID 6693
Applications Western Blot : 0.5-1ug/ml
Immunohistochemistry (FFPE) : 0.5-1ug/ml
Immunocytochemistry (FFPE) : 1-2ug/ml
Immunofluorescence (FFPE) : 1-2ug/ml
Flow Cytometry : 1-3ug/10^6 cells
Limitations This CD43 antibody is available for research use only.
Review this product on BioCompare and get a $20 Amazon gift card

Related Products

Description

CD43, also known as leukosialin or sialophorin, is a transmembrane cell surface protein that in humans is encoded by the SPN gene. It is mapped to 16p11.2. It is a major sialoglycoprotein on the surface of human T lymphocytes, monocytes, granulocytes, and some B lymphocytes, which is important for immune function and may be part of a physiologic ligand-receptor complex involved in T-cell activation. Expression of CD43 is deficient and/or defective in the X-chromosome-linked immunodeficiency disorder Wiscott-Aldrich syndrome, suggesting that CD43 have a role in T-cell activation. T-cell activation requires the removal of CD43 from the immunologic synapse to allow efficient engagement of the TCR with molecules on the APC.

Application Notes

The stated application concentrations are suggested starting amounts. Titration of the CD43 antibody may be required due to differences in protocols and secondary/substrate sensitivity.

Immunogen

Human partial recombinant protein (AA 272-400) was used as the immunogen for this CD43 antibody.

Storage

After reconstitution, the CD43 antibody can be stored for up to one month at 4oC. For long-term, aliquot and store at -20oC. Avoid repeated freezing and thawing.

Cross
Bulk Quote Request Form
Name*:
Organization*:
Email*:
Phone Number*:
Catalog No.*:
Comments and Specifics(amount, formulation, etc.)*:
Validation code: Captchapackage Image


Can't read the image? click here to refresh.
    *required field

Your bulk quote request has been submitted successfully!

Please contact us if you have any questions.