• Tel: 858.663.9055
  • SeparatorEmail: info@nsjbio.com
  • Tel: 858.663.9055
  • Email: info@nsjbio.com
Home >> Antibodies >> CD43 Antibody

CD43 Antibody [clone CDLA43-2] (V7572)

  Catalog No Formulation Size Price (USD)  
Image V7572-100UG 0.2 mg/ml in 1X PBS with 0.1 mg/ml BSA (US sourced) and 0.05% sodium azide 100 ug 539
Image
V7572-20UG 0.2 mg/ml in 1X PBS with 0.1 mg/ml BSA (US sourced) and 0.05% sodium azide 20 ug 249
Image
V7572SAF-100UG 1 mg/ml in 1X PBS; BSA free, sodium azide free 100 ug 539
Image
V7572IHC-7ML Prediluted in 1X PBS with 0.1 mg/ml BSA (US sourced) and 0.05% sodium azide; *For IHC use only* 7 ml 539
Bulk quote request
Immunofluorescence staining of human K562 cells with CD43 antibody (green, clone CDLA43-2) and NucSpot Live 650 (red).
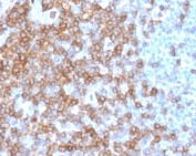
IHC staining of FFPE human spleen with CD43 antibody (clone CDLA43-2). HIER: boil tissue sections in pH 9 10mM Tris with 1mM EDTA for 10-20 min and allow to cool before testing.
Flow cytometry testing of PFA-fixed human K562 cells with CD43 antibody (clone CDLA43-2); Red=isotype control, Blue= CD43 antibody.
Western blot testing of human K562 cell lysate with CD43 antibody (clone CDLA43-2). Expected molecular weight: 45-135 kDa depending on glycosylation level.
Availability 1-3 business days
Species Reactivity Human
Format Purified
Clonality Monoclonal (mouse origin)
Isotype Mouse IgG1, kappa
Clone Name CDLA43-2
Purity Protein G affinity chromatography
UniProt P16150
Localization Cell surface
Applications Western Blot : 1-2ug/ml
Flow Cytometry : 1-2ug/million cells
Immunofluorescence : 1-2ug/ml
Immunohistochemistry (FFPE) : 1-2ug/ml for 30 minutes at RT
Prediluted IHC Only Format : incubate for 30 min at RT (1)
Limitations This CD43 antibody is available for research use only.
Review this product on BioCompare and get a $20 Amazon gift card

Related Products

Description

CD43 is one of the major glycoproteins of thymocytes and T lymphocytes. Plays a role in the physicochemical properties of the T-cell surface and in lectin binding. Presents carbohydrate ligands to selectins. Has an extended rodlike structure that could protrude above the glycocalyx of the cell and allow multiple glycan chains to be accessible for binding. Is a counter-receptor for SN/Siglec-1 (By similarity). During T-cell activation is actively removed from the T-cell-APC (antigen-presenting cell) contact site thus suggesting a negative regulatory role in adaptive immune response (By similarity). [UniProt]

Application Notes

Optimal dilution of the CD43 antibody should be determined by the researcher.

Immunogen

Recombinant full-length human SPN protein was used as the immunogen for the CD43 antibody.

Storage

Store the CD43 antibody at 2-8oC (with azide) or aliquot and store at -20oC or colder (without azide).

Cross
Bulk Quote Request Form
Name*:
Organization*:
Email*:
Phone Number*:
Catalog No.*:
Comments and Specifics(amount, formulation, etc.)*:
Validation code: Captchapackage Image


Can't read the image? click here to refresh.
    *required field

Your bulk quote request has been submitted successfully!

Please contact us if you have any questions.