• Tel: 858.663.9055
  • SeparatorEmail: info@nsjbio.com
  • Tel: 858.663.9055
  • Email: info@nsjbio.com
Home >> Antibodies >> CD41 Antibody / ITGA2B

CD41 Antibody / ITGA2B (RQ4069)

  Catalog No Formulation Size Price (USD)  
Image RQ4069 0.5mg/ml if reconstituted with 0.2ml sterile DI water 100 ug 439
Bulk quote request
FACS testing of human HL60 cells with CD41 antibody at 1ug/10^6 cells. CD41 antibody (blue), isotype control (green), cells alone (red).
Flow cytometry testing of human U-937 cells with CD41 antibody at 1ug/10^6 cells. CD41 antibody (blue), isotype control (green), cells alone (red).
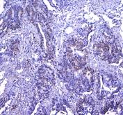
IHC testing of FFPE human rectal cancer tissue with CD41 antibody at 1ug/ml. Required HIER: steam section in pH6 citrate buffer for 20 min and allow to cool prior to testing.
IHC testing of FFPE human breast cancer tissue with CD41 antibody at 1ug/ml. Required HIER: steam section in pH6 citrate buffer for 20 min and allow to cool prior to testing.
Western blot testing of 1) human K562, 2) human Raji, 3) rat testis, 4) rat brain and 5) mouse brain lysate with CD41 antibody at 0.5ug/ml. Expected molecular weight ~120 kDa (alpha chain) and ~23 kDa (beta chain).
Immunofluorescent staining of FFPE human tonsil tissue with CD41 antibody at 1ug/ml and DAPI nuclear stain (blue). HIER: boil tissue sections in pH6, 10mM citrate buffer, for 10-20 min and allow to cool before testing.
Immunofluorescent staining of FFPE mouse lymph tissue with CD41 antibody (green) at 1ug/ml and DAPI nuclear stain (blue). HIER: steam section in pH6 citrate buffer for 20 min.
Availability 1-3 business days
Species Reactivity Human, Mouse, Rat
Format Antigen affinity purified
Clonality Polyclonal (rabbit origin)
Isotype Rabbit IgG
Purity Antigen affinity purified
Buffer Lyophilized from 1X PBS with 2% Trehalose and 0.025% sodium azide
UniProt P08514
Applications Immunohistochemistry (FFPE) : 1-2ug/ml
Flow Cytometry : 1-3ug/10^6 cells
Western Blot : 0.5-1ug/ml
Immunofluorescence : 1-2ug/ml
Direct ELISA : 0.1-0.5ug/ml
Limitations This CD41 antibody is available for research use only.
Review this product on BioCompare and get a $20 Amazon gift card

Related Products

Description

Integrin alpha-IIb, also called CD41, is a protein that in humans is encoded by the ITGA2B gene. In addition to adhesion, integrins are known to participate in cell-surface mediated signalling.

Application Notes

Optimal dilution of the CD41 antibody should be determined by the researcher.

Immunogen

A recombinant human partial protein corresponding to amino acids L32-D263 was used as the immunogen for the CD41 antibody.

Storage

After reconstitution, the CD41 antibody can be stored for up to one month at 4oC. For long-term, aliquot and store at -20oC. Avoid repeated freezing and thawing.

Cross
Bulk Quote Request Form
Name*:
Organization*:
Email*:
Phone Number*:
Catalog No.*:
Comments and Specifics(amount, formulation, etc.)*:
Validation code: Captchapackage Image


Can't read the image? click here to refresh.
    *required field

Your bulk quote request has been submitted successfully!

Please contact us if you have any questions.