• Tel: 858.663.9055
  • SeparatorEmail: info@nsjbio.com
  • Tel: 858.663.9055
  • Email: info@nsjbio.com
Home >> Antibodies >> CD41 Antibody / ITGA2B

CD41 Antibody / ITGA2B [clone AAGH-9] (RQ5218)

  Catalog No Formulation Size Price (USD)  
Image RQ5218 Antibody in PBS with 0.02% sodium azide, 50% glycerol and 0.4-0.5mg/ml BSA 100 ul 439
Microvalidated Rab Mono Image
Bulk quote request
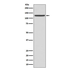
Western blot testing of human fetal liver lysate with CD41 antibody. Expected molecular weight ~120 kDa (alpha chain) and ~23 kDa (beta chain).
Availability 1-2 weeks
Species Reactivity Human
Format Purified
Clonality Rabbit Monoclonal
Isotype Rabbit IgG
Clone Name AAGH-9
Purity Affinity purified
UniProt P08514
Applications Western Blot : 1:500-1:1000
Limitations This CD41 antibody is available for research use only.
Review this product on BioCompare and get a $20 Amazon gift card

Related Products

  • Applications : FACS, IF
    Reactivity : Human
  • Applications : WB, IHC-P
    Reactivity : Human, Mouse, Rat
  • Applications : IHC-P, FACS, WB, IF, ELISA
    Reactivity : Human, Mouse, Rat
  • Applications : WB, IHC-P, FACS, Direct ELISA
    Reactivity : Human, Rat

Description

The ITGA2B gene encodes a member of the integrin alpha chain family of proteins. The encoded preproprotein is proteolytically processed to generate light and heavy chains that associate through disulfide linkages to form a subunit of the alpha-IIb/beta-3 integrin cell adhesion receptor. This receptor plays a crucial role in the blood coagulation system, by mediating platelet aggregation. Mutations in this gene are associated with platelet-type bleeding disorders, which are characterized by a failure of platelet aggregation, including Glanzmann thrombasthenia. [RefSeq]

Application Notes

Optimal dilution of the CD41 antibody should be determined by the researcher.

Immunogen

A synthetic peptide specific to human CD41 / ITGA2B was used as the immunogen for the CD41 antibody.

Storage

Store the CD41 antibody at -20oC.

Cross
Bulk Quote Request Form
Name*:
Organization*:
Email*:
Phone Number*:
Catalog No.*:
Comments and Specifics(amount, formulation, etc.)*:
Validation code: Captchapackage Image


Can't read the image? click here to refresh.
    *required field

Your bulk quote request has been submitted successfully!

Please contact us if you have any questions.