• Tel: 858.663.9055
  • SeparatorEmail: info@nsjbio.com
  • Tel: 858.663.9055
  • Email: info@nsjbio.com
Home >> Antibodies >> CD40L Antibody

CD40L Antibody (R30194)

  Catalog No Formulation Size Price (USD)  
Image R30194 0.5mg/ml if reconstituted with 0.2ml sterile DI water 100 ug 439
Bulk quote request
Western blot testing of CD40L antibody and Lane 1: MCF-7; 2: HeLa; 3: Jurkat; 4: HMY2; 5: COLO320; Expected molecular weight: 29-39 kDa (depending on glycosylation level) or ~18 kDa (soluble form).
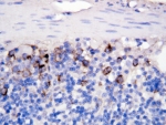
IHC-P: CD40L antibody testing of rat intestine tissue.
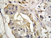
IHC staining of FFPE human breast cancer with CD40L antibody. HIER: boil tissue sections in pH6, 10mM citrate buffer, for 10-20 min followed by cooling at RT for 20 min.
Availability 1-3 business days
Species Reactivity Human
Format Antigen affinity purified
Clonality Polyclonal (rabbit origin)
Isotype Rabbit IgG
Purity Antigen affinity
Buffer Lyophilized from 1X PBS with 2.5% BSA and 0.025% sodium azide/thimerosal
UniProt P29965
Localization Cytoplasmic, membranous
Applications Western Blot : 0.5-1ug/ml (human)
IHC (FFPE) : 0.5-1ug/ml (human & rat)
Limitations This CD40L antibody is available for research use only.
Review this product on BioCompare and get a $20 Amazon gift card

Related Products

Description

CD40 ligand (CD40L), also called TRAP and CD154, is a type II membrane protein of 261 amino acids on activated T cells that induces B cell proliferation and immunoglobulin secretion. It has homology with tumour necrosis factor-alpha and -beta, and has important functions in B-cell activation and differentiation. Human CD40L with 5 exons, is mapped to the proximal region of the mouse X chromosome on Xq26.3-27.1, and can be detected on T cells but is absent from B cells and monocytes. Since CD40L is expressed on platelets and released from them on activation, its predictive value as a marker for clinical outcome and the therapeutic effect of inhibition of glycoprotein IIb /IIIa receptor in patients with acute coronary syndromes was investigated. The soluble CD40L may be involved in the process of restenosis and that it exerts its effect by triggering a complex group of inflammatory reactions on endothelial and mononuclear cells. CD40L plays a central role in the pathophysiology of acute coronary syndromes, and has a role in the pathogenesis of coronary artery lesions.

Application Notes

The stated application concentrations are suggested starting amounts. Titration of the CD40L antibody may be required due to differences in protocols and secondary/substrate sensitivity.

Immunogen

An amino acid sequence from the N-terminus of human CD40L (HRRLDKIEDERNLHEDFVF) was used as the immunogen for this CD40L antibody.

Storage

After reconstitution, the CD40L antibody can be stored for up to one month at 4oC. For long-term, aliquot and store at -20oC. Avoid repeated freezing and thawing.

Cross
Bulk Quote Request Form
Name*:
Organization*:
Email*:
Phone Number*:
Catalog No.*:
Comments and Specifics(amount, formulation, etc.)*:
Validation code: Captchapackage Image


Can't read the image? click here to refresh.
    *required field

Your bulk quote request has been submitted successfully!

Please contact us if you have any questions.