• Tel: 858.663.9055
  • SeparatorEmail: info@nsjbio.com
  • Tel: 858.663.9055
  • Email: info@nsjbio.com
Home >> Antibodies >> CD40 Antibody

CD40 Antibody [clone C40/1605] (V3694)

  Catalog No Formulation Size Price (USD)  
Image V3694-100UG 0.2 mg/ml in 1X PBS with 0.1 mg/ml BSA (US sourced) and 0.05% sodium azide 100 ug 539
Image
V3694-20UG 0.2 mg/ml in 1X PBS with 0.1 mg/ml BSA (US sourced) and 0.05% sodium azide 20 ug 249
Image
V3694SAF-100UG 1 mg/ml in 1X PBS; BSA free, sodium azide free 100 ug 539
Image
V3694IHC-7ML Prediluted in 1X PBS with 0.1 mg/ml BSA (US sourced) and 0.05% sodium azide; *For IHC use only* 7 ml 539
Bulk quote request
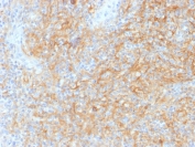
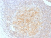
IHC testing of human spleen tissue with CD40 antibody (clone C40/1605). Required HIER: boil tissue sections in 10mM citrate buffer, pH 6, for 10-20 min.
IHC testing of Hodgkin's Lymphoma tissue with CD40 antibody (clone C40/1605). Required HIER: boil tissue sections in 10mM citrate buffer, pH 6, for 10-20 min.
IHC testing of human tonsil tissue with CD40 antibody (clone C40/1605). Required HIER: boil tissue sections in 10mM citrate buffer, pH 6, for 10-20 min.
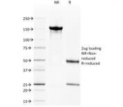
SDS-PAGE analysis of purified, BSA-free CD40 antibody (clone C40/1605) as confirmation of integrity and purity.
Availability 1-3 business days
Species Reactivity Human
Format Purified
Clonality Monoclonal (mouse origin)
Isotype Mouse IgG1, kappa
Clone Name C40/1605
Purity Protein G affinity chromatography
UniProt P25942
Localization Cell surface and cytoplasmic
Applications Immunofluorescence : 1-2ug/ml
Flow Cytometry : 1-2ug/10^6 cells
Immunohistochemistry (FFPE) : 1-2ug/ml for 30 min at RT
Limitations This CD40 antibody is available for research use only.
Review this product on BioCompare and get a $20 Amazon gift card

Related Products

  • Applications : WB, IHC-P
    Reactivity : Human
    Recrabbitmono
  • Applications : IHC-P
    Reactivity : Human
    Recrabbitmono
  • Applications : ELISA, FACS, IHC-P, WB
    Reactivity : Human
    Microvalidated
  • Applications : WB, ELISA
    Reactivity : Human
    Pred. Reactivity : Mouse, Pig
  • Applications : IF, FACS
    Reactivity : Human
  • Applications : IHC-P, FACS
    Reactivity : Human
  • Applications : FACS, IF
    Reactivity : Mouse
  • Applications : ELISA, IHC-P
    Reactivity : Human
  • Applications : WB
    Reactivity : Mouse
  • Applications : WB
    Reactivity : Human
  • Applications : WB, ELISA
    Reactivity : Human
    Pred. Reactivity : Mouse, Pig
  • Applications : WB, IHC-P, FACS, ELISA (protein)
    Reactivity : Human
  • Applications : WB, IHC-P, FACS, ELISA (protein)
    Reactivity : Human, Mouse
  • Applications : WB, ELISA
    Reactivity : Mouse, Rat

Description

CD40 antibody detects CD40, a costimulatory protein expressed on antigen presenting cells including B cells, dendritic cells, and macrophages. Encoded by the TNFRSF5 gene, CD40 belongs to the tumor necrosis factor receptor superfamily and is critical for adaptive immunity. By interacting with its ligand CD40L, this receptor triggers pathways that regulate B cell activation, antibody production, and T cell priming. Because of its central role in immunity, CD40 is studied in immunology, inflammation, and cancer immunotherapy.

CD40 signaling activates multiple pathways, including NF kappa B and MAP kinase cascades. These signals enhance antigen presentation, cytokine secretion, and survival of immune cells. CD40 is essential for germinal center formation and immunoglobulin class switching, processes that underpin high affinity antibody responses. Aberrant regulation of CD40 signaling contributes to autoimmune diseases and lymphoid malignancies.

The CD40 antibody clone C40/1605 provides accurate and reproducible recognition. Clone C40/1605 has been applied in studies of immune regulation, B cell activation, and dendritic cell biology. It also supports translational research, where CD40 serves as a therapeutic target for cancer immunotherapy and autoimmune disease interventions. Its specificity makes it well suited for investigations into costimulatory signaling.

Research using clone C40/1605 has clarified how CD40 influences immune responses, linking antigen presentation to T cell activation. Detection of CD40 expression contributes to understanding the immune microenvironment in tumors and guides therapeutic design. This antibody remains valuable for exploring both normal immunity and disease related signaling pathways.

NSJ Bioreagents supplies this CD40 antibody to support studies in immunology and translational research. CD40 is also referenced as TNFRSF5 antibody, Bp50 antibody, CD40 receptor antibody, and tumor necrosis factor receptor superfamily member 5 antibody.

Application Notes

Optimal dilution of the CD40 antibody should be determined by the researcher.

1. The prediluted format is supplied in a dropper bottle and is optimized for use in IHC. After epitope retrieval step (if required), drip mAb solution onto the tissue section and incubate at RT for 30 min.

Immunogen

A recombinant human protein was used as the immunogen for the CD40 antibody.

Storage

Store the CD40 antibody at 2-8oC (with azide) or aliquot and store at -20oC or colder (without azide).

Cross
Bulk Quote Request Form
Name*:
Organization*:
Email*:
Phone Number*:
Catalog No.*:
Comments and Specifics(amount, formulation, etc.)*:
Validation code: Captchapackage Image


Can't read the image? click here to refresh.
    *required field

Your bulk quote request has been submitted successfully!

Please contact us if you have any questions.