• Tel: 858.663.9055
  • SeparatorEmail: info@nsjbio.com
  • Tel: 858.663.9055
  • Email: info@nsjbio.com
Home >> Antibodies >> CD4 Antibody

CD4 Antibody [clone RM345] (R20367)

  Catalog No Formulation Size Price (USD)  
Image R20367-0.1ML Antibody in PBS with 50% glycerol, 1% BSA and 0.09% sodium azide 100 ul 429
Microvalidated Recrabbitmono
Bulk quote request
Western blot testing of human Jurkat cell lysate with recombinant CD4 antibody at 1:2500. Expected molecular weight: 50-55 kDa.
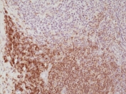
IHC staining of FFPE human tonsil tissue with recombinant CD4 antibody at 1:500.
Availability 1-3 business days
Species Reactivity Human
Format Purified
Clonality Recombinant Rabbit Monoclonal
Isotype Rabbit IgG
Clone Name RM345
Purity Protein A purified from animal origin-free supernatant
UniProt P01730
Applications Immunohistochemistry (FFPE) : 1:200-1:500
Western Blot : 1:2000-1:5000
Limitations This recombinant CD4 antibody is available for research use only.
Review this product on BioCompare and get a $20 Amazon gift card

Related Products

  • Applications : IHC-P, WB
    Reactivity : Human
    Recrabbitmono
    Microvalidated
  • Applications : FACS, IF
    Reactivity : Human
    Recmousemono
  • Applications : IHC-P, WB
    Reactivity : Human
    Recmousemono
  • Applications : ELISA
    Reactivity : Human
    Microvalidated
  • Applications : ELISA
    Reactivity : Human
    Microvalidated
  • Applications : IHC-F, FACS
    Reactivity : Human
  • Applications : WB, ELISA
    Reactivity : Human
  • Applications : ELISA, FACS
    Reactivity : Human
  • Applications : Functional studies, FACS, IF
    Reactivity : Human
    Citation  Citations(13)
  • Applications : WB
    Reactivity : Human
    Rab Mono Image
  • Applications : Functional Studies, FACS, IF
    Reactivity : Human
  • Applications : ELISA, Neutralization, FACS, IF
    Reactivity : Mouse
  • Applications : ELISA, FACS
    Reactivity : Human
  • Applications : IHC-P
    Reactivity : Human
  • Applications : WB, FACS, ELISA
    Reactivity : Human
  • Applications : WB, ELISA (peptide)
    Reactivity : Human
  • Applications : WB, IHC-P, FACS, Direct ELISA
    Reactivity : Mouse, Rat

Description

This antibody reacts to the extracellular domain of human CD4.

Application Notes

The stated application concentrations are suggested starting points. Titration of the recombinant CD4 antibody may be required due to differences in protocols and secondary/substrate sensitivity.

Immunogen

A peptide corresponding to the N-terminus of human CD4 was used as the immunogen for the recombinant CD4 antibody.

Storage

Store the recombinant CD4 antibody at -20oC.

Cross
Bulk Quote Request Form
Name*:
Organization*:
Email*:
Phone Number*:
Catalog No.*:
Comments and Specifics(amount, formulation, etc.)*:
Validation code: Captchapackage Image


Can't read the image? click here to refresh.
    *required field

Your bulk quote request has been submitted successfully!

Please contact us if you have any questions.