• Tel: 858.663.9055
  • SeparatorEmail: info@nsjbio.com
  • Tel: 858.663.9055
  • Email: info@nsjbio.com
Home >> Antibodies >> CD4 Antibody

CD4 Antibody [clone CD4/7144] (V9754)

  Catalog No Formulation Size Price (USD)  
Image V9754-100UG 0.2 mg/ml in 1X PBS with 0.1 mg/ml BSA (US sourced), 0.05% sodium azide 100 ug 539
Image
V9754-20UG 0.2 mg/ml in 1X PBS with 0.1 mg/ml BSA (US sourced), 0.05% sodium azide 20 ug 249
Image
V9754SAF-100UG 1 mg/ml in 1X PBS; BSA free, sodium azide free 100 ug 539
Bulk quote request
IHC staining of FFPE human lymph node tissue with CD4 antibody (clone CD4/7144) at 2ug/ml in PBS for 30min RT. HIER: boil tissue sections in pH 9 10mM Tris with 1mM EDTA for 20 min and allow to cool before testing.
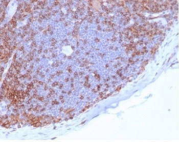
IHC staining of FFPE human tonsil tissue with CD4 antibody (clone CD4/7144) at 2ug/ml in PBS for 30min RT. Cell surface staining observed. Negative control inset: PBS used instead of primary antibody to control for secondary Ab binding. HIER: boil tissue sections in pH 9 10mM Tris with 1mM EDTA for 20 min and allow to cool before testing.
SDS-PAGE analysis of purified, BSA-free CD4 antibody (clone CD4/7144) as confirmation of integrity and purity.
Availability 1-3 business days
Species Reactivity Human
Format Purified
Clonality Monoclonal (mouse origin)
Isotype Mouse IgG2b, kappa
Clone Name CD4/7144
Purity Protein A/G affinity
UniProt P01730
Localization Cell surface
Applications Immunohistochemistry (FFPE) : 1-2ug/ml
Limitations This CD4 antibody is available for research use only.
Review this product on BioCompare and get a $20 Amazon gift card

Related Products

  • Applications : IHC-P, WB
    Reactivity : Human
    Recrabbitmono
    Microvalidated
  • Applications : FACS, IF
    Reactivity : Human
    Recmousemono
  • Applications : IHC-P, WB
    Reactivity : Human
    Recmousemono
  • Applications : ELISA
    Reactivity : Human
    Microvalidated
  • Applications : ELISA
    Reactivity : Human
    Microvalidated
  • Applications : IHC-F, FACS
    Reactivity : Human
  • Applications : WB, ELISA
    Reactivity : Human
  • Applications : ELISA, FACS
    Reactivity : Human
  • Applications : Functional studies, FACS, IF
    Reactivity : Human
    Citation  Citations(13)
  • Applications : WB
    Reactivity : Human
    Rab Mono Image
  • Applications : Functional Studies, FACS, IF
    Reactivity : Human
  • Applications : ELISA, Neutralization, FACS, IF
    Reactivity : Mouse
  • Applications : ELISA, FACS
    Reactivity : Human
  • Applications : IHC-P
    Reactivity : Human
  • Applications : WB, FACS, ELISA
    Reactivity : Human
  • Applications : WB, ELISA (peptide)
    Reactivity : Human
  • Applications : WB, IHC-P, FACS, Direct ELISA
    Reactivity : Mouse, Rat

Description

Recognizes a protein of 55kDa, identified as CD4. It is a membrane glycoprotein of T lymphocytes that interacts with major histocompatibility complex class II antigens and is also a receptor for the human immunodeficiency virus. This protein is expressed not only in T lymphocytes, but also in B cells, macrophages, and granulocytes. It is also expressed in specific regions of the brain. The protein functions to initiate or augment the early phase of T-cell activation, and may function as an important mediator of indirect neuronal damage in infectious and immune-mediated diseases of the central nervous system. Multiple alternatively spliced transcript variants encoding different isoforms have been identified.

Application Notes

Optimal dilution of the CD4 antibody should be determined by the researcher.

Immunogen

A portion of amino acids 200-400 was used as the immunogen for the CD4 antibody.

Storage

Aliquot the CD4 antibody and store frozen at -20oC or colder. Avoid repeated freeze-thaw cycles.

Cross
Bulk Quote Request Form
Name*:
Organization*:
Email*:
Phone Number*:
Catalog No.*:
Comments and Specifics(amount, formulation, etc.)*:
Validation code: Captchapackage Image


Can't read the image? click here to refresh.
    *required field

Your bulk quote request has been submitted successfully!

Please contact us if you have any questions.