• Tel: 858.663.9055
  • SeparatorEmail: info@nsjbio.com
  • Tel: 858.663.9055
  • Email: info@nsjbio.com
Home >> Antibodies >> CD36 Antibody

CD36 Antibody (R31985)

  Catalog No Formulation Size Price (USD)  
Image R31985 0.5mg/ml if reconstituted with 0.2ml sterile DI water 100 ug 439
Bulk quote request
Western blot testing of 1) rat liver, 2) rat heart, 3) mouse liver, 4) mouse heart and 5) human SMCC lysate with CD36 antibody. Expected molecular weight: ~53/88 kDa (unmodified/glycosylated).
IHC staining of FFPE rat spleen tissue with CD36 antibody. HIER: Boil the paraffin sections in pH 6, 10mM citrate buffer for 20 minutes and allow to cool prior to staining.
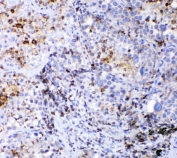
IHC staining of FFPE human lung cancer tissue with CD36 antibody. HIER: Boil the paraffin sections in pH 6, 10mM citrate buffer for 20 minutes and allow to cool prior to staining.
Availability 1-3 business days
Species Reactivity Human, Mouse, Rat
Format Antigen affinity purified
Clonality Polyclonal (rabbit origin)
Isotype Rabbit IgG
Purity Antigen affinity
Buffer Lyophilized from 1X PBS with 2.5% BSA and 0.025% sodium azide
UniProt P16671
Localization Cell membrane
Applications Western Blot : 0.1-0.5ug/ml
Immunohistochemistry (FFPE) : 0.5-1ug/ml
Limitations This CD36 antibody is available for research use only.
Review this product on BioCompare and get a $20 Amazon gift card

Related Products

Description

CD36 (cluster of differentiation 36), also known as FAT (fatty acid translocase), FAT/CD36, SCARB3, GP88, glycoprotein IV (gpIV), and glycoprotein IIIb (gpIIIb), is anintegral membrane protein found on the surface of many cell types in vertebrate animals. It is a member of the class B scavenger receptor family of cell surface proteins. It is mapped to 7q21.11. And CD36 binds many ligands including collagen, thrombospondin, erythrocytes parasitized with Plasmodium falciparum, oxidized low density lipoprotein, native lipoproteins, oxidized phospholipids, and long-chain fatty acids. In addition, CD36 function in long-chain fatty acid uptake and signaling can be irreversibly inhibited by sulfo-N-succinimidyl oleate (SSO), which binds lysine 164 within a hydrophobic pocked shared by several CD36 ligands, e.g. fatty acid and oxLDL.

Application Notes

Optimal dilution of the CD36 antibody should be determined by the researcher.

Immunogen

Amino acids DLLIQKTIKKQVVLEEGTIAFKNWVKTGTEVYRQFW of human CD36 were used as the immunogen for the CD36 antibody.

Storage

After reconstitution, the CD36 antibody can be stored for up to one month at 4oC. For long-term, aliquot and store at -20oC. Avoid repeated freezing and thawing.

Cross
Bulk Quote Request Form
Name*:
Organization*:
Email*:
Phone Number*:
Catalog No.*:
Comments and Specifics(amount, formulation, etc.)*:
Validation code: Captchapackage Image


Can't read the image? click here to refresh.
    *required field

Your bulk quote request has been submitted successfully!

Please contact us if you have any questions.