• Tel: 858.663.9055
  • SeparatorEmail: info@nsjbio.com
  • Tel: 858.663.9055
  • Email: info@nsjbio.com
Home >> Antibodies >> CD33 Antibody

CD33 Antibody (R32380)

  Catalog No Formulation Size Price (USD)  
Image R32380 0.5mg/ml if reconstituted with 0.2ml sterile DI water 100 ug 439
Bulk quote request
Western blot testing of mouse lung lysate with CD33 antibody. Predicted molecular weight is 40-67 kDa depending on glycosylation level.
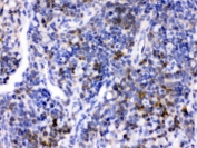
IHC testing of FFPE mouse spleen with CD33 antibody. HIER: Boil the paraffin sections in pH 6, 10mM citrate buffer for 20 minutes and allow to cool prior to testing.
Availability 1-3 business days
Species Reactivity Mouse
Format Antigen affinity purified
Clonality Polyclonal (rabbit origin)
Isotype Rabbit IgG
Purity Antigen affinity
Buffer Lyophilized from 1X PBS with 2% Trehalose and 0.025% sodium azide
UniProt Q63994
Localization Cytoplasmic, membranous
Applications Western Blot : 0.1-0.5ug/ml
IHC (FFPE) : 0.5-1ug/ml
Limitations This CD33 antibody is available for research use only.
Review this product on BioCompare and get a $20 Amazon gift card

Related Products

Description

CD33, also known as Siglec-3 (sialic acid binding Ig-like lectin 3, SIGLEC3, SIGLEC-3, gp67, p67), is a transmembrane receptor expressed on cells of myeloid lineage. It is usually considered myeloid-specific, but it can also be found on some lymphoid cells. CD33 binds sialic acids, therefore is a member of the SIGLEC family of lectins. By fluorescence in situ hybridization, CD33 is mapped to 19q13.3-q13.4.

Application Notes

Optimal dilution of the CD33 antibody should be determined by the researcher.

Immunogen

Amino acids D18-E240 of the mouse protein were used as the immunogen for the CD33 antibody.

Storage

After reconstitution, the CD33 antibody can be stored for up to one month at 4oC. For long-term, aliquot and store at -20oC. Avoid repeated freezing and thawing.

Cross
Bulk Quote Request Form
Name*:
Organization*:
Email*:
Phone Number*:
Catalog No.*:
Comments and Specifics(amount, formulation, etc.)*:
Validation code: Captchapackage Image


Can't read the image? click here to refresh.
    *required field

Your bulk quote request has been submitted successfully!

Please contact us if you have any questions.