• Tel: 858.663.9055
  • SeparatorEmail: info@nsjbio.com
  • Tel: 858.663.9055
  • Email: info@nsjbio.com
Home >> Antibodies >> CD325 Antibody / CDH2 / N-Cadherin

CD325 Antibody / CDH2 / N-Cadherin [clone MNCD2] (V9199)

  Catalog No Formulation Size Price (USD)  
Image V9199-100UG 0.2 mg/ml in 1X PBS with 0.1 mg/ml BSA (US sourced), 0.05% sodium azide 100 ug 539
Image
V9199-20UG 0.2 mg/ml in 1X PBS with 0.1 mg/ml BSA (US sourced), 0.05% sodium azide 20 ug 249
Image
V9199SAF-100UG 1 mg/ml in 1X PBS; BSA free, sodium azide free 100 ug 539
Bulk quote request
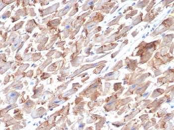
IHC staining of FFPE human heart tissue with CD325 antibody (clone MNCD2). HIER: boil tissue sections in pH 9 10mM Tris with 1mM EDTA for 20 min and allow to cool before testing.
IHC staining of FFPE human heart tissue with CD325 antibody (clone MNCD2). HIER: boil tissue sections in pH 9 10mM Tris with 1mM EDTA for 20 min and allow to cool before testing.
Availability 1-3 business days
Species Reactivity Human, Mouse
Format Purified
Clonality Monoclonal (rat origin)
Isotype Rat IgG2a
Clone Name MNCD2
Purity Protein A/G affinity
UniProt P19022
Localization Cell surface
Applications Immunohistochemistry (FFPE) : 1-2ug/ml
Limitations This CD325 antibody is available for research use only.
Review this product on BioCompare and get a $20 Amazon gift card

Related Products

Description

Recognizes a protein of ~140kDa, identified as N-Cadherin (NCAD), also known as CD325. NCAD is a member of the Cadherin superfamily, and consists of five extracellular repeats, a transmembrane domain and a cytoplasmic domain. CD325 deficient mice die at day 10 of gestation and embryos display major heart defects and malformed neural tubes and somites. Consistent with this, CD325 has been implicated in several aspects of cardiac development including the precardiac mesoderm, establishment of left-right symmetry and cardiac looping morphogenesis. Furthermore, CD325 is normally involved in inducing cell cycle arrest and its expression is frequently deregulated in cancer cells.Studies have linked N-cadherin to cancer metastasis by showing the aggressive tumor cells had preferentially turned on N-cadherin as opposed to E- or P-cadherin.

Application Notes

Optimal dilution of the CD325 antibody should be determined by the researcher.

Immunogen

A portion of amino acids 308-597 was used as the immunogen for the CD325 antibody.

Storage

Aliquot the CD325 antibody and store frozen at -20oC or colder. Avoid repeated freeze-thaw cycles.

Cross
Bulk Quote Request Form
Name*:
Organization*:
Email*:
Phone Number*:
Catalog No.*:
Comments and Specifics(amount, formulation, etc.)*:
Validation code: Captchapackage Image


Can't read the image? click here to refresh.
    *required field

Your bulk quote request has been submitted successfully!

Please contact us if you have any questions.