• Tel: 858.663.9055
  • SeparatorEmail: info@nsjbio.com
  • Tel: 858.663.9055
  • Email: info@nsjbio.com
Home >> Antibodies >> CD32 Antibody / FCGR2A

CD32 Antibody / FCGR2A (RQ4568)

  Catalog No Formulation Size Price (USD)  
Image RQ4568 0.5mg/ml if reconstituted with 0.2ml sterile DI water 100 ug 439
Bulk quote request
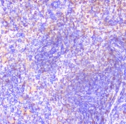
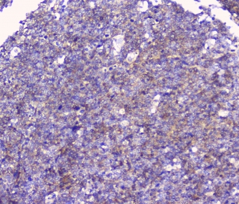
IHC staining of FFPE human tonsil tissue with CD32 antibody at 1ug/ml. HIER: boil tissue sections in pH6, 10mM citrate buffer, for 10-20 min followed by cooling at RT for 20 min.
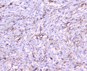
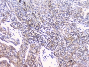
IHC staining of FFPE human breast cancer with CD32 antibody at 1ug/ml. HIER: boil tissue sections in pH6, 10mM citrate buffer, for 10-20 min followed by cooling at RT for 20 min.
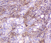
IHC staining of FFPE human lung cancer with CD32 antibody at 1ug/ml. HIER: boil tissue sections in pH6, 10mM citrate buffer, for 10-20 min followed by cooling at RT for 20 min.
IHC staining of FFPE human rectal cancer with CD32 antibody at 1ug/ml. HIER: boil tissue sections in pH6, 10mM citrate buffer, for 10-20 min followed by cooling at RT for 20 min.
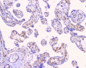
IHC staining of FFPE human placenta with CD32 antibody at 1ug/ml. HIER: boil tissue sections in pH6, 10mM citrate buffer, for 10-20 min followed by cooling at RT for 20 min.
IHC staining of FFPE mouse spleen with CD32 antibody at 1ug/ml. HIER: boil tissue sections in pH6, 10mM citrate buffer, for 10-20 min followed by cooling at RT for 20 min.
IHC staining of FFPE rat spleen with CD32 antibody at 1ug/ml. HIER: boil tissue sections in pH6, 10mM citrate buffer, for 10-20 min followed by cooling at RT for 20 min.
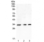
Western blot testing of 1) human ThP-1, 2) rat brain and 3) mouse Neuro-2a cell lysate with CD32 antibody at 0.5ug/ml. Predicted molecular weight: 34-40 kDa depending on the level of glycosylation.
Western blot testing of 1) K562, 2) Caco-2 and 3) U-2 OS cell lysate with CD32 antibody at 0.5ug/ml. Predicted molecular weight: 34-40 kDa depending on the level of glycosylation.
Availability 1-3 business days
Species Reactivity Human, Mouse, Rat
Format Antigen affinity purified
Clonality Polyclonal (rabbit origin)
Isotype Rabbit IgG
Purity Antigen affinity purified
Buffer Lyophilized from 1X PBS with 2% Trehalose
UniProt P12318
Localization Cytoplasm, plasma membrane
Applications Western Blot : 0.5-1ug/ml
IHC (FFPE) : 1-2ug/ml
ELISA (Capture) : 1-5ug/ml (recombinant human protein)
Review this product on BioCompare and get a $20 Amazon gift card

Related Products

Description

Low affinity immunoglobulin gamma Fc region receptor II-a, also called CD32, is a protein that in humans is encoded by the FCGR2A gene. This gene encodes one member of a family of immunoglobulin Fc receptor genes found on the surface of many immune response cells. It is mapped to 1q23.3. The protein encoded by this gene is a cell surface receptor found on phagocytic cells such as macrophages and neutrophils, and is involved in the process of phagocytosis and clearing of immune complexes. Alternative splicing results in multiple transcript variants.

Application Notes

Optimal dilution of the CD32 antibody should be determined by the researcher.

Immunogen

Amino acids Q34-M210 from the human protein were used as the immunogen for the CD32 antibody.

Storage

After reconstitution, the CD32 antibody can be stored for up to one month at 4oC. For long-term, aliquot and store at -20oC. Avoid repeated freezing and thawing.

Cross
Bulk Quote Request Form
Name*:
Organization*:
Email*:
Phone Number*:
Catalog No.*:
Comments and Specifics(amount, formulation, etc.)*:
Validation code: Captchapackage Image


Can't read the image? click here to refresh.
    *required field

Your bulk quote request has been submitted successfully!

Please contact us if you have any questions.