• Tel: 858.663.9055
  • SeparatorEmail: info@nsjbio.com
  • Tel: 858.663.9055
  • Email: info@nsjbio.com
Home >> Antibodies >> CD30 Antibody

CD30 Antibody [clone RM425] (R20439)

  Catalog No Formulation Size Price (USD)  
Image R20439-0.1ML Antibody in PBS with 50% glycerol, 1% BSA and 0.09% sodium azide 100 ul 429
Microvalidated Recrabbitmono
Bulk quote request
Western blot testing of human K562 cell lysate with recombinant CD30 antibody at 1:1000 dilution. Expected molecular weight: 53-120 kDa depending on glycosylation level.
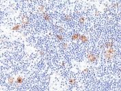
IHC staining of FFPE human Hodgkins lymphoma tissue with recombinant CD30 antibody at 1:100.
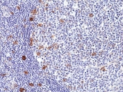
IHC staining of FFPE human tonsil tissue with recombinant CD30 antibody at 1:100.
Availability 1-3 business days
Species Reactivity Human
Format Purified
Clonality Recombinant Rabbit Monoclonal
Isotype Rabbit IgG
Clone Name RM425
Purity Protein A purified from animal origin-free supernatant
UniProt P28908
Localization Cell surface, cytoplasmic
Applications Immunohistochemistry (FFPE) : 1:50 -1:100
Western Blot : 1:500-1:1000
Limitations This recombinant CD30 antibody is available for research use only.
Review this product on BioCompare and get a $20 Amazon gift card

Related Products

Description

This antibody reacts to human CD30.

Application Notes

The stated application concentrations are suggested starting points. Titration of the recombinant CD30 antibody may be required due to differences in protocols and secondary/substrate sensitivity.

Immunogen

A peptide corresponding to the C-terminus of human CD30 was used as the immunogen for the recombinant CD30 antibody.

Storage

Store the recombinant CD30 antibody at -20oC.

Cross
Bulk Quote Request Form
Name*:
Organization*:
Email*:
Phone Number*:
Catalog No.*:
Comments and Specifics(amount, formulation, etc.)*:
Validation code: Captchapackage Image


Can't read the image? click here to refresh.
    *required field

Your bulk quote request has been submitted successfully!

Please contact us if you have any questions.