• Tel: 858.663.9055
  • SeparatorEmail: info@nsjbio.com
  • Tel: 858.663.9055
  • Email: info@nsjbio.com
Home >> Antibodies >> CD272 Antibody / BTLA

CD272 Antibody / BTLA (RQ4638)

  Catalog No Formulation Size Price (USD)  
Image RQ4638 0.5mg/ml if reconstituted with 0.2ml sterile DI water 100 ug 439
Bulk quote request
Western blot testing of human 1) HEK293, 2) Jurkat, 3) CCRF-CEM and 4) mouse thymus lysate with CD272 antibody at 0.5ug/ml. Predicted molecular weight: 33-60 kDa depending on level of glycosylation.
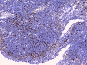
IHC staining of FFPE mouse spleen tissue with CD272 antibody at 1ug/ml. HIER: boil tissue sections in pH6, 10mM citrate buffer, for 10-20 min and allow to cool before testing.
IHC staining of FFPE mouse spleen tissue with CD272 antibody at 1ug/ml. HIER: boil tissue sections in pH6, 10mM citrate buffer, for 10-20 min and allow to cool before testing.
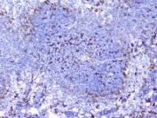
IHC staining of FFPE human tonsil tissue with CD272 antibody at 1ug/ml. HIER: boil tissue sections in pH6, 10mM citrate buffer, for 10-20 min and allow to cool before testing.
Flow cytometry testing of human ThP-1 cells with CD272 antibody at 1ug/10^6 cells (blocked with goat sera); Red=cells alone, Green=isotype control, Blue= CD272 antibody.
Availability 1-3 business days
Species Reactivity Human, Mouse
Format Antigen affinity purified
Clonality Polyclonal (rabbit origin)
Isotype Rabbit IgG
Purity Antigen affinity purified
Buffer Lyophilized from 1X PBS with 2% Trehalose and 0.025% sodium azide
UniProt Q7Z6A9
Applications Western Blot : 0.5-1ug/ml
IHC (FFPE) : 1-2ug/ml
Flow Cytometry : 1-3ug/10^6 cells
Limitations This CD272 antibody is available for research use only.
Review this product on BioCompare and get a $20 Amazon gift card

Related Products

Description

B- and T-lymphocyte attenuator is a protein that in humans is encoded by the BTLA gene. BTLA has also been designated as CD272 (cluster of differentiation 272). This gene encodes a member of the immunoglobulin superfamily. The encoded protein contains a single immunoglobulin (Ig) domain and is a receptor that relays inhibitory signals to suppress the immune response. Alternative splicing results in multiple transcript variants. Polymorphisms in this gene have been associated with an increased risk of rheumatoid arthritis. BTLA expression is induced during activation of T cells, and BTLA remains expressed on Th1 cells but not Th2 cells. Like PD1 and CTLA4, BTLA interacts with a B7 homolog, B7H4.

Application Notes

Optimal dilution of the CD272 antibody should be determined by the researcher.

Immunogen

Amino acids QSNLIESHSTTLYVTDVKSASERPSKDEMASRPWLLYRL were used as the immunogen for the CD272 antibody.

Storage

After reconstitution, the CD272 antibody can be stored for up to one month at 4oC. For long-term, aliquot and store at -20oC. Avoid repeated freezing and thawing.

Cross
Bulk Quote Request Form
Name*:
Organization*:
Email*:
Phone Number*:
Catalog No.*:
Comments and Specifics(amount, formulation, etc.)*:
Validation code: Captchapackage Image


Can't read the image? click here to refresh.
    *required field

Your bulk quote request has been submitted successfully!

Please contact us if you have any questions.