• Tel: 858.663.9055
  • SeparatorEmail: info@nsjbio.com
  • Tel: 858.663.9055
  • Email: info@nsjbio.com
Home >> Antibodies >> CD27 Antibody

CD27 Antibody [clone LPFS2/1611] (V8229)

  Catalog No Formulation Size Price (USD)  
Image V8229-100UG 0.2 mg/ml in 1X PBS with 0.1 mg/ml BSA (US sourced) and 0.05% sodium azide 100 ug 539
Image
V8229-20UG 0.2 mg/ml in 1X PBS with 0.1 mg/ml BSA (US sourced) and 0.05% sodium azide 20 ug 249
Image
V8229SAF-100UG 1 mg/ml in 1X PBS; BSA free, sodium azide free 100 ug 539
Microvalidated
Bulk quote request
Immunofluorescent staining of human Ramos cells with CD27 antibody (clone LPFS2/1611, green) and Reddot nuclear stain (red).
IHC staining of FFPE human spleen with CD27 antibody (clone LPFS2/1611). HIER: boil tissue sections in pH 9 10mM Tris with 1mM EDTA for 20 min and allow to cool before testing.
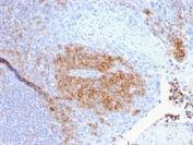
IHC staining of FFPE human tonsil with CD27 antibody (clone LPFS2/1611). HIER: boil tissue sections in pH 9 10mM Tris with 1mM EDTA for 20 min and allow to cool before testing.
IHC staining of FFPE human tonsil with CD27 antibody (clone LPFS2/1611). HIER: boil tissue sections in pH 9 10mM Tris with 1mM EDTA for 20 min and allow to cool before testing.
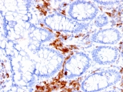
IHC staining of FFPE human colon with CD27 antibody (clone LPFS2/1611). HIER: boil tissue sections in pH 9 10mM Tris with 1mM EDTA for 20 min and allow to cool before testing.
Flow cytometry testing of human Ramos cells with CD27 antibody (clone LPFS2/1611); Red=isotype control, Blue= CD27 antibody.
Analysis of HuProt(TM) microarray containing more than 19,000 full-length human proteins using CD27 antibody (clone LPFS2/1611). These results demonstrate the foremost specificity of the LPFS2/1611 mAb. Z- and S- score: The Z-score represents the strength of a signal that an antibody (in combination with a fluorescently-tagged anti-IgG secondary Ab) produces when binding to a particular protein on the HuProt(TM) array. Z-scores are described in units of standard deviations (SD's) above the mean value of all signals generated on that array. If the targets on the HuProt(TM) are arranged in descending order of the Z-score, the S-score is the difference (also in units of SD's) between the Z-scores. The S-score therefore represents the relative target specificity of an Ab to its intended target.
SDS-PAGE analysis of purified, BSA-free CD27 antibody (clone LPFS2/1611) as confirmation of integrity and purity.
Availability 1-3 business days
Species Reactivity Human
Format Purified
Clonality Monoclonal (mouse origin)
Isotype Mouse IgG1, kappa
Clone Name LPFS2/1611
Purity Protein G affinity chromatography
UniProt P26842
Applications ELISA (order BSA-free Format For Coating) :
Flow Cytometry : 1-2ug/10^6 cells in 0.1ml
Immunofluorescence : 1-2ug/ml
Immunohistochemistry (FFPE) : 1-2ug/ml
Limitations This CD27 antibody is available for research use only.
Review this product on BioCompare and get a $20 Amazon gift card

Related Products

Description

CD27 antibody detects CD27, a type I transmembrane glycoprotein encoded by the TNFRSF7 gene. CD27 is a member of the tumor necrosis factor receptor superfamily and is expressed primarily on T cells, B cells, and natural killer cells. Interaction with its ligand CD70 provides a costimulatory signal that enhances survival, differentiation, and effector function. Because of its central role in lymphocyte biology, CD27 antibody is widely used in immunology, oncology, and vaccine research.

Structurally, CD27 consists of an extracellular cysteine-rich domain for ligand binding, a transmembrane region, and a cytoplasmic tail containing TRAF-binding motifs. Engagement of CD27 by CD70 activates NF-κB and MAPK pathways, promoting clonal expansion of T and B cells and supporting memory cell development. Its expression on subsets of T cells, particularly memory populations, makes it a marker for immune monitoring.

The CD27 antibody clone LPFS2/1611 provides reliable and specific detection. Clone LPFS2/1611 has been applied in peer-reviewed publications addressing T-cell costimulation, immune memory, and tumor immunology. Its reproducibility supports use in flow cytometry, immunohistochemistry, and cell culture experiments, where characterization of lymphocyte subsets and signaling pathways is essential.

Research using clone LPFS2/1611 has shown how CD27-CD70 interactions are critical for long-term immunity, including responses to viral infection and vaccination. In oncology, CD27 expression has been studied in tumor-infiltrating lymphocytes, where it reflects activation states and potential responsiveness to immunotherapy. The antibody has also contributed to studies of immune dysregulation in autoimmunity, where aberrant signaling through CD27 pathways alters lymphocyte balance and function.

NSJ Bioreagents supplies this CD27 antibody to support research in immunology, oncology, and translational medicine. Alternate names include TNFRSF7 antibody, T-cell activation antigen CD27 antibody, lymphocyte differentiation antigen antibody, tumor necrosis factor receptor superfamily member 7 antibody, and memory T-cell marker antibody.

Application Notes

Optimal dilution of the CD27 antibody should be determined by the researcher.

Immunogen

A recombinant full-length human CD27 protein was used as the immunogen for this CD27 antibody.

Storage

Store the CD27 antibody at 2-8oC (with azide) or aliquot and store at -20oC or colder (without azide).

Cross
Bulk Quote Request Form
Name*:
Organization*:
Email*:
Phone Number*:
Catalog No.*:
Comments and Specifics(amount, formulation, etc.)*:
Validation code: Captchapackage Image


Can't read the image? click here to refresh.
    *required field

Your bulk quote request has been submitted successfully!

Please contact us if you have any questions.