• Tel: 858.663.9055
  • SeparatorEmail: info@nsjbio.com
  • Tel: 858.663.9055
  • Email: info@nsjbio.com
Home >> Antibodies >> Cd244 Antibody / Natural killer cell receptor 2B4

Cd244 Antibody / Natural killer cell receptor 2B4 (RQ8880)

  Catalog No Formulation Size Price (USD)  
Image RQ8880 0.5mg/ml if reconstituted with 0.2ml sterile DI water 100 ug 439
Bulk quote request
IHC staining of FFPE mouse spleen tissue with Cd244 antibody, HRP-secondary and DAB substrate. HIER: boil tissue sections in pH8 EDTA for 20 min and allow to cool before testing.
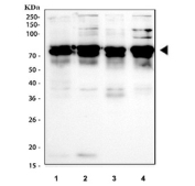
Western blot testing of 1) rat spleen, 2) rat lung, 3) mouse spleen and 4) mouse lung tissue lysate with Cd244 antibody. Predicted molecular weight ~45 kDa but can be observed at higher molecular weights due to glycosylation.
Availability 1-3 business days
Species Reactivity Mouse, Rat
Format Antigen affinity purified
Clonality Polyclonal (rabbit origin)
Isotype Rabbit IgG
Purity Antigen affinity purified
Buffer Lyophilized from 1X PBS with 2% Trehalose
UniProt Q07763
Localization Cell membrane
Applications Western Blot : 0.5-1 ug/ml
Immunohistochemistry (FFPE) : 2-5ug/ml
Direct ELISA : 0.1-0.5ug/ml
Limitations This Cd244 antibody is available for research use only.
Review this product on BioCompare and get a $20 Amazon gift card

Related Products

  • Applications : WB, IHC-P
    Reactivity : Human
  • Applications : ELISA (peptide), IP
    Reactivity : Human

Description

CD244 (also known as 2B4 or SLAMF4) is an immunoreceptor expressed on NK cells, CD8+ T cells, gamma delta T cells, monocytes, and some dendritic cells. It binds CD48 to modulate cytotoxicity, cytokine secretion, and immune synapse formation. Signal polarity (activating vs. inhibitory) depends on adaptor usage, including SAP/SH2D1A and EAT-2, enabling context-specific tuning of effector function. The CD244 antibody helps delineate these pathways by resolving expression and activation states across cell subsets.

Dysregulated CD244 signaling is linked to impaired NK function in chronic viral infection, T cell exhaustion in tumors, and altered myeloid responses. Expression level, phosphorylation status, and adaptor association serve as readouts for immune competence in immuno-oncology, vaccine studies, and autoimmunity research, making precise detection with the CD244 antibody valuable for mechanistic and translational investigations.

The CD244 antibody supports applications such as flow cytometry, immunohistochemistry, and western blot to quantify receptor abundance, track subcellular localization, and assess pathway modulation under genetic or pharmacologic perturbation. With high specificity and reproducible performance across primary cells and model systems, the CD244 antibody enables rigorous analysis of NK and T cell biology.

Application Notes

Optimal dilution of the Cd244 antibody should be determined by the researcher.

Immunogen

Recombinant mouse protein (amino acids Q20-N374) was used as the immunogen for the Cd244 antibody.

Storage

After reconstitution, the Cd244 antibody can be stored for up to one month at 4oC. For long-term, aliquot and store at -20oC. Avoid repeated freezing and thawing.

Cross
Bulk Quote Request Form
Name*:
Organization*:
Email*:
Phone Number*:
Catalog No.*:
Comments and Specifics(amount, formulation, etc.)*:
Validation code: Captchapackage Image


Can't read the image? click here to refresh.
    *required field

Your bulk quote request has been submitted successfully!

Please contact us if you have any questions.