• Tel: 858.663.9055
  • SeparatorEmail: info@nsjbio.com
  • Tel: 858.663.9055
  • Email: info@nsjbio.com
Home >> Antibodies >> CD24 Antibody

CD24 Antibody (RQ8876)

  Catalog No Formulation Size Price (USD)  
Image RQ8876 0.5mg/ml if reconstituted with 0.2ml sterile DI water 100 ug 439
Bulk quote request
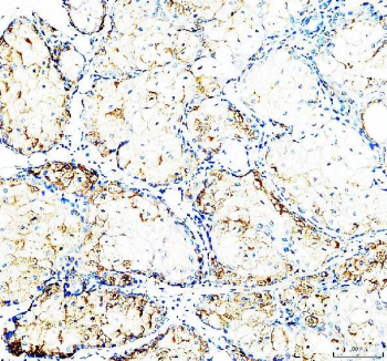
IHC staining of FFPE human teratoma tissue with CD24 antibody, HRP-labeled secondary and DAB substrate. HIER: boil tissue sections in pH8 EDTA for 20 min and allow to cool before testing.
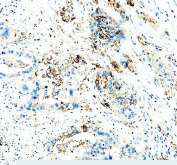
IHC staining of FFPE human appendix tissue with CD24 antibody, HRP-labeled secondary and DAB substrate. HIER: boil tissue sections in pH8 EDTA for 20 min and allow to cool before testing.
Availability 1-3 business days
Species Reactivity Human
Format Antigen affinity purified
Clonality Polyclonal (rabbit origin)
Isotype Rabbit IgG
Purity Antigen affinity purified
Buffer Lyophilized from 1X PBS with 2% Trehalose
UniProt P25063
Applications Immunohistochemistry (FFPE) : 2-5ug/ml
Limitations This CD24 antibody is available for research use only.
Review this product on BioCompare and get a $20 Amazon gift card

Description

CD24 antibody detects Cluster of differentiation 24, a small glycosylphosphatidylinositol (GPI)-anchored cell surface glycoprotein involved in cell adhesion, immune modulation, and cancer metastasis. Encoded by the CD24 gene on chromosome 6q21, this protein is expressed on developing hematopoietic cells, mature B cells, granulocytes, and various epithelial and neuronal tissues. CD24 mediates cell-cell and cell-matrix interactions by binding to P-selectin and Siglec family receptors, influencing immune cell trafficking and signaling.

Structurally, CD24 is a heavily glycosylated protein lacking a transmembrane domain, anchored to the plasma membrane via a GPI linkage. The carbohydrate moieties of CD24 contribute to its interactions with lectins and adhesion molecules, which regulate lymphocyte homing and activation. In the nervous system, CD24 is involved in axon growth and synaptic plasticity, while in the immune system it acts as a costimulatory molecule modulating T cell responses. CD24 engagement can influence B cell maturation, dendritic cell activation, and apoptosis signaling.

The CD24 antibody is widely used in immunology, oncology, and stem cell biology research to study immune signaling, cancer progression, and differentiation. Flow cytometry using this antibody identifies CD24-positive cell populations, while western blot analysis detects the mature glycoprotein at approximately 35-40 kilodaltons, with size variability due to glycosylation. Immunohistochemistry reveals membrane staining in lymphoid tissues and various carcinomas.

In cancer research, CD24 has emerged as a key marker of tumor-initiating cells and metastasis. Overexpression is associated with aggressive tumor phenotypes in breast, ovarian, and colorectal cancers, where CD24 promotes cell adhesion to P-selectin on platelets and endothelial cells, aiding metastatic spread. Conversely, CD24 expression can modulate immune responses by interacting with Siglec-10, inhibiting innate immune activation. The CD24 antibody is an essential tool for investigating immune regulation, tumor biology, and cell surface glycoprotein signaling. NSJ Bioreagents provides this antibody validated for immunohistochemistry, ensuring high specificity in cellular and molecular studies.

Application Notes

Optimal dilution of the CD24 antibody should be determined by the researcher.

Immunogen

A synthetic peptide corresponding to a sequence in the middle region of human CD24 protein was used as the immunogen for the CD24 antibody.

Storage

After reconstitution, the CD24 antibody can be stored for up to one month at 4oC. For long-term, aliquot and store at -20oC. Avoid repeated freezing and thawing.

Cross
Bulk Quote Request Form
Name*:
Organization*:
Email*:
Phone Number*:
Catalog No.*:
Comments and Specifics(amount, formulation, etc.)*:
Validation code: Captchapackage Image


Can't read the image? click here to refresh.
    *required field

Your bulk quote request has been submitted successfully!

Please contact us if you have any questions.