• Tel: 858.663.9055
  • SeparatorEmail: info@nsjbio.com
  • Tel: 858.663.9055
  • Email: info@nsjbio.com
Home >> Antibodies >> CD23 Antibody

CD23 Antibody (R31482)

  Catalog No Formulation Size Price (USD)  
Image R31482 0.5mg/ml if reconstituted with 0.2ml sterile DI water 100 ug 439
Bulk quote request
Western blot testing of CD23 antibody and mouse liver lysate. Expected molecular weight: 37~45 kDa.
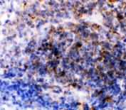
IHC-P: CD23 antibody testing of human tonsil tissue. HIER: steam section in pH6 citrate buffer for 20 min.
IHC-P: CD23 antibody testing of mouse spleen tissue. HIER: steam section in pH6 citrate buffer for 20 min.
IHC-P: CD23 antibody testing of rat spleen tissue. HIER: steam section in pH6 citrate buffer for 20 min.
Flow cytometry testing of human PBMs with CD23 antibody at 1ug/10^6 cells (blocked with goat sera); Red=cells alone, Green=isotype control, Blue= CD23 antibody.
Flow cytometry testing of mouse PBMs with CD23 antibody at 1ug/10^6 cells (blocked with goat sera); Red=cells alone, Green=isotype control, Blue= CD23 antibody.
Immunofluorescent staining of FFPE mouse lymph tissue with CD23 antibody (green) at 1ug/ml and DAPI nuclear stain (blue). HIER: steam section in pH6 citrate buffer for 20 min.
Immunofluorescent staining of FFPE rat lymph tissue with CD23 antibody (green) at 1ug/ml and DAPI nuclear stain (blue). HIER: steam section in pH6 citrate buffer for 20 min.
Western blot testing of CD23 antibody and 1) rat spleen and 2) rat thymus lysate. Expected molecular weight: 37~45 kDa.
IHC staining of frozen mouse spleen tissue with CD23 antibody.
Availability 1-3 business days
Species Reactivity Human, Mouse, Rat
Format Antigen affinity purified
Clonality Polyclonal (rabbit origin)
Isotype Rabbit IgG
Purity Antigen affinity
Buffer Lyophilized from 1X PBS with 2.5% BSA and 0.025% sodium azide
Gene ID 14128
Localization Cytoplasmic, membranous
Applications Western Blot : 0.5-1ug/ml
Immunocytochemistry (FFPE) : 0.5-1ug/ml
Immunocytochemistry (Frozen) : 0.5-1ug/ml
Immunofluorescence (FFPE) : 1-2ug/ml
Flow Cytometry : 1-3ug/10^6 cells
Limitations This CD23 antibody is available for research use only.
Review this product on BioCompare and get a $20 Amazon gift card

Related Products

Description

CD23, also known as Fc epsilon RII, or FceRII, is the low-affinity receptor for IgE, an antibody isotype involved in allergy and resistance to parasites, and is important in regulation of IgE levels. There are two forms of CD23: CD23a and CD23b. CD23a is present on follicular B cells, whereas CD23b requires IL-4 to be expressed on T-cells, monocytes, Langerhans cells, eosinophils, and macrophages. As part of a mapping of multiple probes to specific bands on chromosome 19 by fluorescence in situ hybridization, the FCE2 gene was assigned to 19p13.3. CD23 is a key molecule for B-cell activation and growth. It is the low-affinity receptor for IgE. The truncated molecule can be secreted, then functioning as a potent mitogenic growth factor.

Application Notes

The stated application concentrations are suggested starting amounts. Titration of the CD23 antibody may be required due to differences in protocols and secondary/substrate sensitivity.

Immunogen

Mouse recombinant partial protein (AA 50-331) was used as the immunogen for this CD23 antibody.

Storage

After reconstitution, the CD23 antibody can be stored for up to one month at 4oC. For long-term, aliquot and store at -20oC. Avoid repeated freezing and thawing.

Cross
Bulk Quote Request Form
Name*:
Organization*:
Email*:
Phone Number*:
Catalog No.*:
Comments and Specifics(amount, formulation, etc.)*:
Validation code: Captchapackage Image


Can't read the image? click here to refresh.
    *required field

Your bulk quote request has been submitted successfully!

Please contact us if you have any questions.