• Tel: 858.663.9055
  • SeparatorEmail: info@nsjbio.com
  • Tel: 858.663.9055
  • Email: info@nsjbio.com
Home >> Antibodies >> CD20 Antibody / MS4A1

CD20 Antibody / MS4A1 (R31481)

  Catalog No Formulation Size Price (USD)  
Image R31481 0.5mg/ml if reconstituted with 0.2ml sterile DI water 100 ug 439
Bulk quote request
Western blot testing of CD20 antibody and Lane 1: Raji; 2: CEM lysate. Expected molecular weight ~33 kDa.
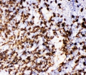
IHC staining of FFPE human tonsil with CD20 antibody. HIER: boil tissue sections in pH6, 10mM citrate buffer, for 10-20 min and allow to cool before testing.
IHC staining of FFPE human tonsil with CD20 antibody. HIER: boil tissue sections in pH6, 10mM citrate buffer, for 10-20 min and allow to cool before testing.
Flow cytometry testing of human U937 cells with CD20 antibody at 1ug/10^6 cells (cells blocked with goat sera); Red=cells alone, Green=isotype control, Blue=CD20 antibody.
Flow cytometry testing of human A431 cells with CD20 antibody at 1ug/10^6 cells (cells blocked with goat sera); Red=cells alone, Green=isotype control, Blue=CD20 antibody.
Immunofluorescent staining of FFPE human B lymphocytic tumor tissue with CD20 antibody (green) at 1ug/ml and DAPI nuclear stain (blue). HIER: boil tissue sections in pH6, 10mM citrate buffer, for 10-20 min and allow to cool before testing.
Availability 1-3 business days
Species Reactivity Human
Format Antigen affinity purified
Clonality Polyclonal (rabbit origin)
Isotype Rabbit IgG
Purity Antigen affinity
Buffer Lyophilized from 1X PBS with 2.5% BSA, 0.025% sodium azide
Gene ID 931
Applications Western Blot : 0.5-1ug/ml
Immunohistochemistry (FFPE) : 0.5-1ug/ml
Immunofluorescence (FFPE) : 1-2ug/ml
Flow Cytometry : 1-3ug/10^6 cells
Limitations This CD20 antibody is available for research use only.
Review this product on BioCompare and get a $20 Amazon gift card

Related Products

Description

CD20, also known as MS4A1, is an activated-glycosylated phosphoprotein expressed on the surface of all B-cells beginning at the pro-B phase (CD45R+, CD117+) and progressively increasing in concentration until maturity. It is mapped to 11q12.2. This gene encodes a member of the membrane-spanning 4A gene family. The function of CD20 is to enable optimal B-cell immune response, specifically against T-independent antigens. It is suspected that CD20 acts as a calcium channel in the cell membrane. Additionally, this protein may be involved in the regulation of B-cell activation and proliferation.

Application Notes

The stated application concentrations are suggested starting amounts. Titration of the CD20 antibody may be required due to differences in protocols and secondary/substrate sensitivity.

Immunogen

Human partial recombinant protein (AA 1-261) was used as the immunogen for this CD20 antibody.

Storage

After reconstitution, the CD20 antibody can be stored for up to one month at 4oC. For long-term, aliquot and store at -20oC. Avoid repeated freezing and thawing.

Cross
Bulk Quote Request Form
Name*:
Organization*:
Email*:
Phone Number*:
Catalog No.*:
Comments and Specifics(amount, formulation, etc.)*:
Validation code: Captchapackage Image


Can't read the image? click here to refresh.
    *required field

Your bulk quote request has been submitted successfully!

Please contact us if you have any questions.