• Tel: 858.663.9055
  • SeparatorEmail: info@nsjbio.com
  • Tel: 858.663.9055
  • Email: info@nsjbio.com
Home >> Antibodies >> CD20 Antibody

CD20 Antibody [clone 4D11] (RQ7008)

  Catalog No Formulation Size Price (USD)  
Image RQ7008 0.5mg/ml if reconstituted with 0.2ml sterile DI water 100 ug 439
Bulk quote request
Immunofluorescent staining of FFPE human tonsil tissue with CD20 antibody (green), CD3e antibody (red) and DAPI nuclear stain (blue). HIER: steam section in pH8 EDTA buffer for 20 min.
IHC staining of FFPE human splenic rupture tissue with CD20 antibody. HIER: boil tissue sections in pH8 EDTA for 20 min and allow to cool before testing.
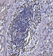
IHC staining of FFPE human gastric carcinoma tissue with CD20 antibody. HIER: boil tissue sections in pH8 EDTA for 20 min and allow to cool before testing.
Western blot testing of human 1) Jurkat and 2) Raji cell lysate with CD20 antibody. Predicted molecular weight ~33 kDa.
Availability 1-3 business days
Species Reactivity Human
Format Antigen affinity purified
Clonality Monoclonal (mouse origin)
Isotype Mouse IgG2b
Clone Name 4D11
Purity Antigen affinity purified
Buffer Lyophilized from 1X PBS with 2% Trehalose
UniProt P11836
Localization Predominantly cell surface with some cytoplasmic
Applications Western Blot : 0.5-1 ug/ml
Immunohistochemistry (FFPE) : 2-5ug/ml
Immunofluorescence : 5ug/ml
Limitations This CD20 antibody is available for research use only.
Review this product on BioCompare and get a $20 Amazon gift card

Related Products

Description

CD20, also known as MS4A1, is an activated-glycosylated phosphoprotein expressed on the surface of all B-cells beginning at the pro-B phase (CD45R+, CD117+) and progressively increasing in concentration until maturity. It is mapped to 11q12.2. This gene encodes a member of the membrane-spanning 4A gene family. The function of CD20 is to enable optimal B-cell immune response, specifically against T-independent antigens. It is suspected that CD20 acts as a calcium channel in the cell membrane. What�s more, this protein may be involved in the regulation of B-cell activation and proliferation.

Application Notes

Optimal dilution of the CD20 antibody should be determined by the researcher.

Immunogen

Recombinant human CD20 protein (amino acids M1-D261) was used as the immunogen for the CD20 antibody.

Storage

After reconstitution, the CD20 antibody can be stored for up to one month at 4oC. For long-term, aliquot and store at -20oC. Avoid repeated freezing and thawing.

Cross
Bulk Quote Request Form
Name*:
Organization*:
Email*:
Phone Number*:
Catalog No.*:
Comments and Specifics(amount, formulation, etc.)*:
Validation code: Captchapackage Image


Can't read the image? click here to refresh.
    *required field

Your bulk quote request has been submitted successfully!

Please contact us if you have any questions.