• Tel: 858.663.9055
  • SeparatorEmail: info@nsjbio.com
  • Tel: 858.663.9055
  • Email: info@nsjbio.com
Home >> Antibodies >> CD2 Antibody

CD2 Antibody [clone LFA2/7102] (V9217)

  Catalog No Formulation Size Price (USD)  
Image V9217-100UG 0.2 mg/ml in 1X PBS with 0.1 mg/ml BSA (US sourced), 0.05% sodium azide 100 ug 539
Image
V9217-20UG 0.2 mg/ml in 1X PBS with 0.1 mg/ml BSA (US sourced), 0.05% sodium azide 20 ug 249
Image
V9217SAF-100UG 1 mg/ml in 1X PBS; BSA free, sodium azide free 100 ug 539
Bulk quote request
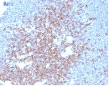
IHC staining of FFPE human lymph node tissue with CD2 antibody (clone LFA2/7102) at 2ug/ml in PBS for 30min RT. HIER: boil tissue sections in pH 9 10mM Tris with 1mM EDTA for 20 min and allow to cool before testing.
IHC staining of FFPE human tonsil tissue with C2 antibody (clone LFA2/7102) at 2ug/ml in PBS for 30min RT. Strong cell surface staining observed. HIER: boil tissue sections in pH 9 10mM Tris with 1mM EDTA for 20 min and allow to cool before testing.
IHC staining of FFPE human tonsil tissue with CD2 antibody (clone LFA2/7102). Negative control inset: PBS instead of primary antibody to control for secondary binding. HIER: boil tissue sections in pH 9 10mM Tris with 1mM EDTA for 20 min and allow to cool before testing.
SDS-PAGE analysis of purified, BSA-free CD2 antibody (clone LFA2/7102) as confirmation of integrity and purity.
Analysis of HuProt(TM) microarray containing more than 19,000 full-length human proteins using CD2 antibody (clone LFA2/7102). These results demonstrate the foremost specificity of the LFA2/7102 mAb. Z- and S- score: The Z-score represents the strength of a signal that an antibody (in combination with a fluorescently-tagged anti-IgG secondary Ab) produces when binding to a particular protein on the HuProt(TM) array. Z-scores are described in units of standard deviations (SD's) above the mean value of all signals generated on that array. If the targets on the HuProt(TM) are arranged in descending order of the Z-score, the S-score is the difference (also in units of SD's) between the Z-scores. The S-score therefore represents the relative target specificity of an Ab to its intended target.
Availability 1-3 business days
Species Reactivity Human
Format Purified
Clonality Monoclonal (mouse origin)
Isotype Mouse IgG2b, kappa
Clone Name LFA2/7102
Purity Protein A/G affinity
UniProt P06729
Localization Cell surface
Applications Immunohistochemistry (FFPE) : 1-2ug/ml
Limitations This CD2 antibody is available for research use only.
Review this product on BioCompare and get a $20 Amazon gift card

Related Products

  • Applications : WB, IHC-P
    Reactivity : Human
    Recrabbitmono
  • Applications : IHC-P
    Reactivity : Human
    Recmousemono
  • Applications : IHC-P
    Reactivity : Human
    Microvalidated
  • Applications : IHC-P
    Reactivity : Human
    Microvalidated
  • Applications : Functional studies, FACS, IF, WB
    Reactivity : Human
  • Applications : Functional studies, FACS, IF, WB
    Reactivity : Human
  • Applications : Functional studies, FACS, IF
    Reactivity : Human
    Citation  Citations(1)
  • Applications : Functional studies, FACS, IF
    Reactivity : Human
    Citation  Citations(3)
  • Applications : FACS, IF
    Reactivity : Human
  • Applications : WB
    Reactivity : Human
    Rab Mono Image
  • Applications : FACS, IF
    Reactivity : Human
  • Applications : Functional Studies, FACS
    Reactivity : Human
  • Applications : WB
    Reactivity : Mouse, Rat
  • Applications : WB, IHC-P
    Reactivity : Mouse
  • Applications : IHC-P, IF, Direct ELISA
    Reactivity : Mouse, Rat
  • Applications : WB, FACS, IP, IHC-P, Direct ELISA
    Reactivity : Human

Description

CD2 is mainly present on the surface of mature T cells and NK cell membranes, while B cells are usually not expressed. It can be used to label the diagnosis and study of normal T cells and their associated tumors, such as pre-t cell lymphoma, marginal T cell lymphoma and anaplastic cell lymphoma. CD2 antibody is useful for identification of precursor and mature T-cell lymphomas. Aberrant loss of CD2 in T-cell lymphomas may help to distinguish them from reactive T-cell proliferations.

Application Notes

Optimal dilution of the CD2 antibody should be determined by the researcher.

Immunogen

A recombinant protein fragment was used as the immunogen for the CD2 antibody.

Storage

Aliquot the CD2 antibody and store frozen at -20oC or colder. Avoid repeated freeze-thaw cycles.

Cross
Bulk Quote Request Form
Name*:
Organization*:
Email*:
Phone Number*:
Catalog No.*:
Comments and Specifics(amount, formulation, etc.)*:
Validation code: Captchapackage Image


Can't read the image? click here to refresh.
    *required field

Your bulk quote request has been submitted successfully!

Please contact us if you have any questions.