• Tel: 858.663.9055
  • SeparatorEmail: info@nsjbio.com
  • Tel: 858.663.9055
  • Email: info@nsjbio.com
Home >> Antibodies >> CD1d Antibody

CD1d Antibody (R30948)

  Catalog No Formulation Size Price (USD)  
Image R30948 0.5mg/ml if reconstituted with 0.2ml sterile DI water 100 ug 439
Bulk quote request
Western blot testing of CD1d antibody and Lane 1: COLO320; 2: HeLa; 3: HT1080; 4: Jurkat cell lysate
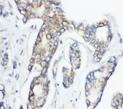
IHC-P: CD1d antibody testing of human breast cancer tissue
Availability 1-3 business days
Species Reactivity Human
Format Antigen affinity purified
Clonality Polyclonal (rabbit origin)
Isotype Rabbit IgG
Purity Antigen affinity
Buffer Lyophilized from 1X PBS with 2.5% BSA and 0.025% sodium azide/thimerosal
UniProt P15813
Applications Western Blot : 0.5-1ug/ml
IHC (FFPE) : 0.5-1ug/ml
Limitations This CD1d antibody is available for research use only.
Review this product on BioCompare and get a $20 Amazon gift card

Related Products

  • Applications : WB, ELISA
    Reactivity : Human

Description

CD1d is the sole group-2 member of the CD1 family of major histocompatibility (MHC)-like glycoproteins expressed on the surface of various human antigen-presenting cells. They are related to the class I MHC molecules, and are involved in the presentation of lipid antigens to T cells. CD1d presented lipid antigens activate a special class of T cells, known as Natural Killer T (NKT) cells. When activated, NKT cells rapidly produce Th1 and Th2 cytokines, typically represented by interferon-gamma and IL-4 production. Jayawardena-Wolf et al. described 2 different pathways of CD1d trafficking to endosomal compartments in mouse cells. A tyrosine-based motif governs recycling between the plasma membrane and the endosome, while CD1d associates, like major histocompatibility complex class II antigens, with the invariant chain, or II, in the endoplasmic reticulum. Both pathways enhance antigen presentation to CD1d-restricted natural killer T cells.

Application Notes

The stated application concentrations are suggested starting amounts. Titration of the CD1d antibody may be required due to differences in protocols and secondary/substrate sensitivity.

Immunogen

Amino acids 76-92 (FSDQQWETLQHIFRVYR-human) were used as the immunogen for this CD1d antibody.

Storage

After reconstitution, the CD1d antibody can be stored for up to one month at 4oC. For long-term, aliquot and store at -20oC. Avoid repeated freezing and thawing.

Cross
Bulk Quote Request Form
Name*:
Organization*:
Email*:
Phone Number*:
Catalog No.*:
Comments and Specifics(amount, formulation, etc.)*:
Validation code: Captchapackage Image


Can't read the image? click here to refresh.
    *required field

Your bulk quote request has been submitted successfully!

Please contact us if you have any questions.