• Tel: 858.663.9055
  • SeparatorEmail: info@nsjbio.com
  • Tel: 858.663.9055
  • Email: info@nsjbio.com
Home >> Antibodies >> CD163L1 Antibody

CD163L1 Antibody (F43408)

  Catalog No Formulation Size Price (USD)  
Image F43408-0.4ML In 1X PBS, pH 7.4, with 0.09% sodium azide 0.4 ml 429
Image
F43408-0.08ML In 1X PBS, pH 7.4, with 0.09% sodium azide 0.08 ml 199
Bulk quote request
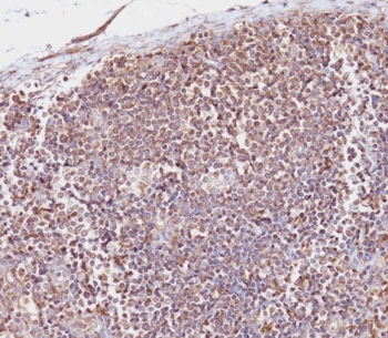
IHC staining of FFPE human lymph node tissue with CD163L1 antibody. HIER: boil tissue sections in pH 9 10mM Tris with 1mM EDTA for 20 min and allow to cool before testing.
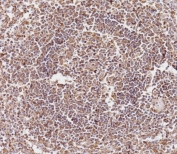
IHC staining of FFPE human spleen tissue with CD163L1 antibody. HIER: boil tissue sections in pH 9 10mM Tris with 1mM EDTA for 20 min and allow to cool before testing.
Western blot testing of human U-2 OS cell lysate with CD163L1 antibody.
Availability 1-3 business days
Species Reactivity Human
Format Antigen affinity purified
Clonality Polyclonal (rabbit origin)
Isotype Rabbit Ig
Purity Antigen affinity
UniProt Q9NR16
Applications Western Blot : 1:1000
Immunohistochemistry (FFPE) : 1:100
Limitations This CD163L1 antibody is available for research use only.
Review this product on BioCompare and get a $20 Amazon gift card

Related Products

Description

This gene encodes a member of the scavenger receptor cysteine-rich (SRCR) superfamily. Members of this family are secreted or membrane-anchored proteins mainly found in cells associated with the immune system. The SRCR family is defined by a 100-110 amino acid SRCR domain, which may mediate protein-protein interaction and ligand binding. The encoded protein contains twelve SRCR domains, a transmembrane region and a cytoplasmic domain. Alternatively spliced transcript variants encoding different isoforms have been described but their full-length nature has not been determined.

Application Notes

Titration of the CD163L1 antibody may be required due to differences in protocols and secondary/substrate sensitivity.

Immunogen

A portion of amino acids 1401-1430 from the human protein was used as the immunogen for this CD163L1 antibody.

Storage

Aliquot the CD163L1 antibody and store frozen at -20oC or colder. Avoid repeated freeze-thaw cycles.

Cross
Bulk Quote Request Form
Name*:
Organization*:
Email*:
Phone Number*:
Catalog No.*:
Comments and Specifics(amount, formulation, etc.)*:
Validation code: Captchapackage Image


Can't read the image? click here to refresh.
    *required field

Your bulk quote request has been submitted successfully!

Please contact us if you have any questions.