• Tel: 858.663.9055
  • SeparatorEmail: info@nsjbio.com
  • Tel: 858.663.9055
  • Email: info@nsjbio.com
Home >> Antibodies >> CD163L1 Antibody

CD163L1 Antibody [clone CD163L1/7971] (V4254)

  Catalog No Formulation Size Price (USD)  
Image V4254-100UG 0.2 mg/ml in 1X PBS with 0.1 mg/ml BSA (US sourced), 0.05% sodium azide 100 ug 539
Image
V4254-20UG 0.2 mg/ml in 1X PBS with 0.1 mg/ml BSA (US sourced), 0.05% sodium azide 20 ug 249
Image
V4254SAF-100UG 1 mg/ml in 1X PBS; BSA free, sodium azide free 100 ug 539
Bulk quote request
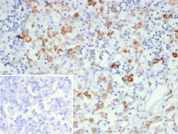
IHC staining of FFPE human lymph node tissue with CD163L1 antibody (clone CD163L1/7971). Inset: PBS used in place of primary Ab (secondary Ab negative control). HIER: boil tissue sections in pH 9 10mM Tris with 1mM EDTA for 20 min and allow to cool before testing.
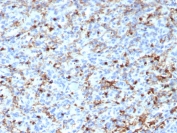
IHC staining of FFPE human spleen tissue with CD163L1 antibody (clone CD163L1/7971). HIER: boil tissue sections in pH 9 10mM Tris with 1mM EDTA for 20 min and allow to cool before testing.
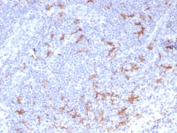
IHC staining of FFPE human tonsil tissue with CD163L1 antibody (clone CD163L1/7971). HIER: boil tissue sections in pH 9 10mM Tris with 1mM EDTA for 20 min and allow to cool before testing.
SDS-PAGE analysis of purified, BSA-free CD163L1 antibody (clone CD163L1/7971) as confirmation of integrity and purity.
Availability 1-3 business days
Species Reactivity Human
Format Purified
Clonality Monoclonal (mouse origin)
Isotype Mouse IgG
Clone Name CD163L1/7971
Purity Protein A/G affinity
UniProt Q9NR16
Localization Cytoplasm
Applications Immunohistochemistry (FFPE) : 1-2ug/ml for 30 minutes at RT
Limitations This CD163L1 antibody is available for research use only.
Review this product on BioCompare and get a $20 Amazon gift card

Related Products

Description

CD163L1 (CD163 molecule-like 1), also known as scavenger receptor cysteinerich type 1 protein M160 or CD163B, is a 1,453 amino acid protein that belongs to the scavenger receptor cysteine-rich (SRCR) superfamily. Members of the SRCR family contain SRCR domains which are used to influence ligand binding and protein-protein interaction, and are found in cells of the immune system where they exist as membrane-anchored or secreted proteins. Containing 12 SRCR domains, CD163L1 undergoes alternative splicing events to produce 3 isoforms. CD163L1 isoforms 1 and 2 are single-pass type I membrane proteins, unlike isoform 3, which is a secreted protein. CD163L1 isoform 1 is abundantly expressed in lymph node, spleen, thymus and fetal liver, and isoform 2 is found exclusively in spleen. The gene encoding CD163L1 maps to human chromosome 12p13.31.

Application Notes

Optimal dilution of the CD163L1 antibody should be determined by the researcher.

Immunogen

A recombinant fragment of human CD163L1 protein was used as the immunogen for the CD163L1 antibody.

Storage

Aliquot the CD163L1 antibody and store frozen at -20oC or colder. Avoid repeated freeze-thaw cycles.

Cross
Bulk Quote Request Form
Name*:
Organization*:
Email*:
Phone Number*:
Catalog No.*:
Comments and Specifics(amount, formulation, etc.)*:
Validation code: Captchapackage Image


Can't read the image? click here to refresh.
    *required field

Your bulk quote request has been submitted successfully!

Please contact us if you have any questions.