• Tel: 858.663.9055
  • SeparatorEmail: info@nsjbio.com
  • Tel: 858.663.9055
  • Email: info@nsjbio.com
Home >> Antibodies >> CD163 Antibody

CD163 Antibody (RQ4259)

  Catalog No Formulation Size Price (USD)  
Image RQ4259 0.5mg/ml if reconstituted with 0.2ml sterile DI water 100 ug 439
Bulk quote request
IHC staining of FFPE human spleen tissue with CD163 antibody at 1ug/ml. Required HIER: steam section in pH8 EDTA for 20 min and allow to cool prior to staining.
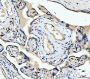
IHC staining of FFPE human placental tissue with CD163 antibody at 1ug/ml. Required HIER: steam section in pH8 EDTA for 20 min and allow to cool prior to staining.
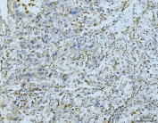
IHC staining of FFPE human liver cancer tissue with CD163 antibody at 1ug/ml. Required HIER: steam section in pH8 EDTA for 20 min and allow to cool prior to staining.
IHC staining of FFPE human gall bladder adenosquamous carcinoma tissue with CD163 antibody at 1ug/ml. Required HIER: steam section in pH8 EDTA for 20 min and allow to cool prior to staining.
IHC staining of FFPE human appendiceal adenocarcinoma tissue with CD163 antibody at 1ug/ml. Required HIER: steam section in pH8 EDTA for 20 min and allow to cool prior to staining.
IHC staining of FFPE human lung cancer tissue with CD163 antibody at 1ug/ml. Required HIER: steam section in pH8 EDTA for 20 min and allow to cool prior to staining.
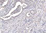
IHC staining of FFPE human rectal cancer tissue with CD163 antibody at 1ug/ml. Required HIER: steam section in pH8 EDTA for 20 min and allow to cool prior to staining.
Western blot testing of human 1) HCCT and 2) HCCP cell lysate with CD163 antibody. Expected molecular weight: 125-175 kDa depending on glycosylation level.
Availability 1-3 business days
Species Reactivity Human
Format Antigen affinity purified
Clonality Polyclonal (rabbit origin)
Isotype Rabbit IgG
Purity Antigen affinity purified
Buffer Lyophilized from 1X PBS with 2% Trehalose and 0.025% sodium azide
UniProt Q86VB7
Localization Cytoplasm, cell membrane, secreted
Applications Western Blot : 0.5-1ug/ml
Immunohistochemistry (FFPE) : 1-2ug/ml
Direct ELISA : 0.1-0.5ug/ml
Limitations This CD163 antibody is available for research use only.
Review this product on BioCompare and get a $20 Amazon gift card

Related Products

Description

CD163 (Cluster of Differentiation 163) is a protein that in humans is encoded by the CD163 gene. The protein encoded by this gene is a member of the scavenger receptor cysteine-rich (SRCR) superfamily, and is exclusively expressed in monocytes and macrophages. It functions as an acute phase-regulated receptor involved in the clearance and endocytosis of hemoglobin/haptoglobin complexes by macrophages, and may thereby protect tissues from free hemoglobin-mediated oxidative damage. This protein may also function as an innate immune sensor for bacteria and inducer of local inflammation. Alternatively spliced transcript variants encoding different isoforms have been described for this gene.

Application Notes

Optimal dilution of the CD163 antibody should be determined by the researcher.

Immunogen

A recombinant human protein corresponding to amino acids T47-E201 was used as the immunogen for the CD163 antibody.

Storage

After reconstitution, the CD163 antibody can be stored for up to one month at 4oC. For long-term, aliquot and store at -20oC. Avoid repeated freezing and thawing.

Cross
Bulk Quote Request Form
Name*:
Organization*:
Email*:
Phone Number*:
Catalog No.*:
Comments and Specifics(amount, formulation, etc.)*:
Validation code: Captchapackage Image


Can't read the image? click here to refresh.
    *required field

Your bulk quote request has been submitted successfully!

Please contact us if you have any questions.