• Tel: 858.663.9055
  • SeparatorEmail: info@nsjbio.com
  • Tel: 858.663.9055
  • Email: info@nsjbio.com
Home >> Antibodies >> CD163 Antibody

CD163 Antibody [clone rM130/8820] (V4238)

  Catalog No Formulation Size Price (USD)  
Image V4238-100UG 0.2 mg/ml in 1X PBS with 0.1 mg/ml BSA (US sourced), 0.05% sodium azide 100 ug 539
Image
V4238-20UG 0.2 mg/ml in 1X PBS with 0.1 mg/ml BSA (US sourced), 0.05% sodium azide 20 ug 249
Image
V4238SAF-100UG 1 mg/ml in 1X PBS; BSA free, sodium azide free 100 ug 539
Microvalidated Recmousemono
Bulk quote request
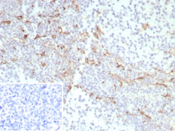
IHC staining of FFPE human tonsil tissue with CD163 antibody (clone rM130/8820). Inset: PBS used in place of primary Ab (secondary Ab negative control). HIER: boil tissue sections in pH 9 10mM Tris with 1mM EDTA for 20 min and allow to cool before testing.
SDS-PAGE analysis of purified, BSA-free CD163 antibody (clone rM130/8820) as confirmation of integrity and purity.
Availability 1-3 business days
Species Reactivity Human
Format Purified
Clonality Recombinant Mouse Monoclonal
Isotype Mouse IgG1, kappa
Clone Name rM130/8820
Purity Protein A/G affinity
UniProt Q86VB7
Localization Cell Surface, Cytoplasm
Applications Immunohistochemistry (FFPE) : 1-2ug/ml for 30 minutes at RT
Limitations This CD163 antibody is available for research use only.
Review this product on BioCompare and get a $20 Amazon gift card

Related Products

Description

CD163 is a type I membrane protein, and is a member of the hemoglobin scavenger receptor cystein-rich superfamily. The protein is involved in the clearance of hemoglobin-haptoglobin complexes and is considered to have anti-inflammatory functions. CD163 expression is restricted to the monocytic/macrophage lineage. It is expressed by all circulating monocytes and by a majority of tissue macrophages, such as splenic dendrocytes, alveolar macrophages and Kupffer cells of the liver. It is not present in macrophages in the mantle zone and some of the germinal center cells in lymph follicles, nor in Langerhans cells and interdigitating reticulum cells. In tumor tissues, CD163 is found in almost all cases of acute myeloid leukemia with monocytoid differentiation and in the majority of cases of histiocytic sarcoma, littoral cell angioma, Rosai-Dorfman disease, Langerhans cell histiocytosis and typical and atypical fibrous histiocytoma. It is also expressed in some cases of dermatofibrosarcoma protuberans. CD163 can be used to detect cells of monocytic and histiocyte lineage in neoplastic and reactive lesions. It has been shown to be more sensitive than CD68 for the detection of macrophages and monocytic cells. It covers a similar, but not identical, spectrum of cells as CD68.

Application Notes

Optimal dilution of the CD163 antibody should be determined by the researcher.

Immunogen

A recombinant partial protein sequence (within amino acids 1-200) from the human protein was used as the immunogen for the CD163 antibody.

Storage

Aliquot the CD163 antibody and store frozen at -20oC or colder. Avoid repeated freeze-thaw cycles.

Cross
Bulk Quote Request Form
Name*:
Organization*:
Email*:
Phone Number*:
Catalog No.*:
Comments and Specifics(amount, formulation, etc.)*:
Validation code: Captchapackage Image


Can't read the image? click here to refresh.
    *required field

Your bulk quote request has been submitted successfully!

Please contact us if you have any questions.