• Tel: 858.663.9055
  • SeparatorEmail: info@nsjbio.com
  • Tel: 858.663.9055
  • Email: info@nsjbio.com
Home >> Antibodies >> CD16 Antibody

CD16 Antibody [clone HuNK2] (V2499)

  Catalog No Formulation Size Price (USD)  
Image V2499-100UG 0.2 mg/ml in 1X PBS with 0.1 mg/ml BSA (US sourced) and 0.05% sodium azide 100 ug 539
Image
V2499-20UG 0.2 mg/ml in 1X PBS with 0.1 mg/ml BSA (US sourced) and 0.05% sodium azide 20 ug 249
Image
V2499SAF-100UG 1 mg/ml in 1X PBS; BSA free, sodium azide free 100 ug 539
Bulk quote request
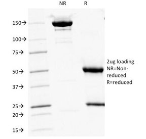
SDS-PAGE Analysis of Purified, BSA-Free CD16 Antibody (clone HuNK2). Confirmation of Integrity and Purity of the Antibody.
Availability 1-3 business days
Species Reactivity Human
Format Purified
Clonality Monoclonal (mouse origin)
Isotype Mouse IgG2a, kappa
Clone Name HuNK2
Purity Protein G affinity chromatography
UniProt P08637
Localization Cell surface
Applications Functional Studies (order BSA/sodium Azide-free Format) :
Flow Cytometry : 1-2ug/10^6 cells
Immunofluorescence : 1-2ug/ml
Limitations This CD16 antibody is available for research use only.
Review this product on BioCompare and get a $20 Amazon gift card

Related Products

  • Applications : Functional studies, FACS, IF
    Reactivity : Human
    Citation  Citations(1)
  • Applications : FACS, IF
    Reactivity : Human
    Citation  Citations(5)
  • Applications : FACS, IF
    Reactivity : Human
  • Applications : FACS
    Reactivity : Human
  • Applications : IHC-P, IF, FACS
    Reactivity : Human
  • Applications : WB
    Reactivity : Mouse
  • Applications : WB, FACS, Direct ELISA
    Reactivity : Mouse, Rat

Description

Recognizes a protein of 50-65 kDa, identified as CD16 (Workshop IV; Code N39 ) (also known low affinity Fc receptor III for IgG (FcRIII) or Leu 11). CD16 exists as a polypepetide-anchored from (FCRIIIA or CD16A) on human natural killer (NK) cells and monocytes/ macrophages and as a glycosylphosphatidylinositol (GPI)-anchored form (FcRIIIB or CD16B) on neutrophils. CD16B is polymorphic and the two alleles are termed NA1 and NA2.3 CD16 plays a role in signal transduction, NK cell activation and antibody-dependent cellular cytotoxicity. This mAb has been showed to inhibit the binding of immune complex to NK cells, inhibit cytotoxicity of NK cells, and induce calcium fluxes in NK cells and neutrophils.

Application Notes

Optimal dilution of the CD16 antibody should be determined by the researcher.

Immunogen

Human peripheral blood lymphocytes from a NK-leukemia patient were used as the immunogen for the CD16 antibody.

Storage

Store the CD16 antibody at 2-8oC (with azide) or aliquot and store at -20oC or colder (without azide).

Cross
Bulk Quote Request Form
Name*:
Organization*:
Email*:
Phone Number*:
Catalog No.*:
Comments and Specifics(amount, formulation, etc.)*:
Validation code: Captchapackage Image


Can't read the image? click here to refresh.
    *required field

Your bulk quote request has been submitted successfully!

Please contact us if you have any questions.