• Tel: 858.663.9055
  • SeparatorEmail: info@nsjbio.com
  • Tel: 858.663.9055
  • Email: info@nsjbio.com
Home >> Antibodies >> CD15 Antibody

CD15 Antibody [clone Leu-M1 or MMA] (V3177)

  Catalog No Formulation Size Price (USD)  
Image V3177-100UG 0.2 mg/ml in 1X PBS with 0.1 mg/ml BSA (US sourced) and 0.05% sodium azide 100 ug 539
Image
V3177-20UG 0.2 mg/ml in 1X PBS with 0.1 mg/ml BSA (US sourced) and 0.05% sodium azide 20 ug 249
Image
V3177SAF-100UG 1 mg/ml in 1X PBS; BSA free, sodium azide free 100 ug 539
Image
V3177IHC-7ML Prediluted in 1X PBS with 0.1 mg/ml BSA (US sourced) and 0.05% sodium azide; *For IHC use only* 7 ml 539
Bulk quote request
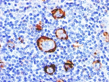
Formalin-fixed, paraffin-embedded human Hodgkin's lymphoma stained with CD15 antibody (clone Leu-M1).
FACS analysis of human monocytes using CD15 antibody (clone Leu-M1, red) and isotype control (green).
FACS analysis of human U937 cells using CD15 antibody (clone Leu-M1, blue) and isotype control (red).
Immunofluorescent staining of human U937 cells with CD15 antibody (clone Leu-M1, green) and Reddot nuclear stain (red).
Availability 1-3 business days
Species Reactivity Human
Format Purified
Clonality Monoclonal (mouse origin)
Isotype Mouse IgM, kappa
Clone Name Leu-M1 or MMA
Purity Precipitated followed by dialysis in 1X PBS
UniProt P22083
Localization Cell surface and granular paranuclear
Applications Flow Cytometry : 0.5-1ug/million cells
Immunofluorescence : 0.5-1ug/ml
Immunohistochemistry (FFPE) : 0.5-1ug/ml for 30 min at RT
Limitations This CD15 antibody is available for research use only.
Review this product on BioCompare and get a $20 Amazon gift card

Related Products

Description

CD15 antibody is a key reagent for research into myeloid differentiation, immune responses, and certain tumor classifications. CD15, also known as Lewis x antigen, is a carbohydrate determinant expressed on the surface of neutrophils, eosinophils, and monocytes. It is also present on some subsets of lymphocytes and can be found in a variety of epithelial tissues. CD15 participates in mediating cell adhesion and cell cell interactions, particularly through recognition by selectins. Its expression provides important information in both immunology and pathology.

The CD15 epitope is involved in processes such as leukocyte trafficking and inflammation, where it contributes to neutrophil adhesion to endothelial cells. Beyond immunology, CD15 has diagnostic importance in pathology, serving as a marker to distinguish between certain types of lymphomas. For example, CD15 positivity is a defining feature in many cases of classical Hodgkin lymphoma, making it a valuable marker for histological classification. In addition, CD15 expression is assessed in some myeloid leukemias and other neoplasms to aid diagnostic evaluation.

This CD15 antibody clone Leu M1 (also called MMA) has been well characterized for its binding to the Lewis x antigen. Investigators rely on this clone to provide consistent and specific labeling of myeloid cells and related structures. By using clone Leu M1 (also called MMA), researchers can achieve robust staining patterns that highlight the distribution of CD15 across tissue sections or cell preparations.

In research, CD15 serves as a tool for exploring immune cell development, granulocyte activation, and inflammatory signaling. It also helps clarify the heterogeneity of hematologic malignancies by distinguishing tumor subtypes based on antigen expression. The ability to detect CD15 accurately has advanced the classification of lymphomas and has improved diagnostic precision in pathology. These findings underscore the broad utility of CD15 in both experimental and clinical contexts.

NSJ Bioreagents supplies this CD15 antibody to facilitate research into immune regulation, inflammation, and cancer biology. By choosing this product, scientists can rely on well established clones that deliver clear results and reproducible performance.

Alternate names: Lewis x antigen antibody, FUT4 antibody, cluster of differentiation 15 antibody, 3 fucosyllactosamine antibody

Application Notes

The optimal dilution of the CD15 antibody for each application should be determined by the researcher.

1. Staining of formalin-fixed tissues requires boiling tissue sections in 10mM Tris with 1mM EDTA, pH 9.0, for 10-20 min followed by cooling at RT for 20 minutes.
2. The prediluted format is supplied in a dropper bottle and is optimized for use in IHC. After epitope retrieval step (if required), drip mAb solution onto the tissue section and incubate at RT for 30 min.

Immunogen

The histiocytic cell line U937 was used as the immunogen for this CD15 antibody.

Storage

Store the CD15 antibody at 2-8oC (with azide) or aliquot and store at -20oC or colder (without azide).

Cross
Bulk Quote Request Form
Name*:
Organization*:
Email*:
Phone Number*:
Catalog No.*:
Comments and Specifics(amount, formulation, etc.)*:
Validation code: Captchapackage Image


Can't read the image? click here to refresh.
    *required field

Your bulk quote request has been submitted successfully!

Please contact us if you have any questions.