• Tel: 858.663.9055
  • SeparatorEmail: info@nsjbio.com
  • Tel: 858.663.9055
  • Email: info@nsjbio.com
Home >> Antibodies >> CD147 Antibody / Basigin

CD147 Antibody / Basigin (R32714)

  Catalog No Formulation Size Price (USD)  
Image R32714 0.5mg/ml if reconstituted with 0.2ml sterile DI water 100 ug 439
Bulk quote request
Western blot testing of human 1) HeLa, 2) placenta, 3) Jurkat, 4) U-2 OS, 5) K562, 6) MCF-7, 7) COLO-320, 8) HepG2 and 9) PANC-1 lysate with CD147 antibody. Expected molecular weight: 27-66 kDa depending on level of glycosylation.
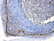
IHC testing of FFPE human tonsil tissue with CD147 antibody at 1ug/ml. Required HIER: steam section in pH6 citrate buffer for 20 min and allow to cool prior to testing.
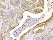
IHC testing of FFPE human intestinal cancer tissue with CD147 antibody at 1ug/ml. Required HIER: steam section in pH6 citrate buffer for 20 min and allow to cool prior to testing.
IHC testing of FFPE human lung cancer tissue with CD147 antibody at 1ug/ml. Required HIER: steam section in pH6 citrate buffer for 20 min and allow to cool prior to testing.
Flow cytometry testing of human HeLa cells with CD147 antibody at 1ug/10^6 cells (cells blocked with goat sera); Red=cells alone, Green=isotype control, Blue=CD147 antibody.
Flow cytometry testing of human A549 cells with CD147 antibody at 1ug/10^6 cells (cells blocked with goat sera); Red=cells alone, Green=isotype control, Blue=CD147 antibody.
Immunofluorescent staining of FFPE human intestinal cancer with CD147 antibody (green) at 1ug/ml and DAPI nuclear stain (blue). HIER: steam section in pH6 citrate buffer for 20 min.
IF/ICC staining of FFPE human A549 cells with CD147 antibody (green) at 2ug/ml. HIER: steam section in pH6 citrate buffer for 20 min.
IF/ICC staining of FFPE human HeLa cells with CD147 antibody (green) at 2ug/ml. HIER: steam section in pH6 citrate buffer for 20 min.
Western blot testing of human 1) HeLa and 2) HepG2 cell lysate with CD147 antibody. Expected molecular weight: 27-66 kDa depending on level of glycosylation.
Availability 1-3 business days
Species Reactivity Human, Mouse, Rat
Format Antigen affinity purified
Clonality Polyclonal (rabbit origin)
Isotype Rabbit IgG
Purity Antigen affinity
Buffer Lyophilized from 1X PBS with 2.5% BSA, 0.025% sodium azide
UniProt P35613
Localization Membrane
Applications Western Bot : 0.5-1ug/ml
Immunohistochemistry (FFPE) : 1-2ug/ml
Flow Cytometry : 1-3ug/10^6 cells
Immunofluorescence/Immunocytochemistry (FFPE) : 2-4ug/ml
Immunofluorescence (FFPE) : 2-4ug/ml
Limitations This CD147 antibody is available for research use only.
Review this product on BioCompare and get a $20 Amazon gift card

Related Products

Description

Emmprin, extracellular matrix metalloproteinase inducer, also known as Emmprin (BSG, Basigin) or cluster of differentiation 147 (CD147) is a protein that in humans is encoded by the Emmprin gene. The human gene is mapped to 19p13.3. This protein is a determinant for the Ok blood group system. Basigin has been shown to be an essential receptor on red blood cells for the malaria parasite. It is a member of the immunoglobulin superfamily, with a structure related to the putative primordial form of the family. As members of the immunoglobulin superfamily, it plays fundamental roles in intercellular recognition involved in various immunologic phenomena, differentiation, and development. BSG is thought also to play a role in intercellular recognition. It also regulates several distinct functions, such as spermatogenesis, expression of the monocarboxylate transporter and the responsiveness of lymphocytes. BSG is a type I integral membrane receptor that has many ligands, including the cyclophilin (CyP) proteins Cyp-A and CyP-B and certain integrins. It is expressed by many cell types, including epithelial cells, endothelial cells and leukocytes.

Application Notes

Optimal dilution of the CD147 antibody should be determined by the researcher.

Immunogen

Amino acids E138-A323 from the human protein were used as the immunogen for the Basigin / CD147 antibody.

Storage

After reconstitution, the Basigin / CD147 antibody can be stored for up to one month at 4oC. For long-term, aliquot and store at -20oC. Avoid repeated freezing and thawing.

Cross
Bulk Quote Request Form
Name*:
Organization*:
Email*:
Phone Number*:
Catalog No.*:
Comments and Specifics(amount, formulation, etc.)*:
Validation code: Captchapackage Image


Can't read the image? click here to refresh.
    *required field

Your bulk quote request has been submitted successfully!

Please contact us if you have any questions.