• Tel: 858.663.9055
  • SeparatorEmail: info@nsjbio.com
  • Tel: 858.663.9055
  • Email: info@nsjbio.com
Home >> Antibodies >> Cd146 Antibody / Mcam / Muc18

Cd146 Antibody / Mcam / Muc18 (RQ5987)

  Catalog No Formulation Size Price (USD)  
Image RQ5987 0.5mg/ml if reconstituted with 0.2ml sterile DI water 100 ug 439
Bulk quote request
Immunofluorescent staining of FFPE mouse intestine with Cd146 antibody (green) and DAPI nuclear stain (blue). HIER: steam section in pH8 EDTA for 20 min.
IHC staining of FFPE mouse intestine with Cd146 antibody. HIER: boil tissue sections in pH8 EDTA for 20 min and allow to cool before testing.
IHC staining of FFPE mouse intestine with Cd146 antibody. HIER: boil tissue sections in pH8 EDTA for 20 min and allow to cool before testing.
IHC staining of FFPE rat spleen with Cd146 antibody. HIER: boil tissue sections in pH8 EDTA for 20 min and allow to cool before testing.
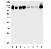
Western blot testing of rat 1) lung, 2) ovary, 3) PC-12 and mouse 4) lung, 5) spleen, 6) thymus, 7) kideny and 8) ovary lysate with Cd146 antibody. Expected molecular weight: 72-130 kDa depending on glycosylation level.
Flow cytometry testing of mouse Neuro-2a cells with Cd146 antibody at 1ug/million cells (blocked with goat sera); Red=cells alone, Green=isotype control, Blue= Cd146 antibody.
Flow cytometry testing of rat C6 cells with Cd146 antibody at 1ug/million cells (blocked with goat sera); Red=cells alone, Green=isotype control, Blue= Cd146 antibody.
Availability 1-3 business days
Species Reactivity Mouse, Rat
Format Antigen affinity purified
Clonality Polyclonal (rabbit origin)
Isotype Rabbit IgG
Purity Affinity purified
Buffer Lyophilized from 1X PBS with 2% Trehalose and 0.025% sodium azide
UniProt Q8R2Y2
Applications Western Blot : 0.5-1ug/ml
Immunohistochemistry : 1-2ug/ml
Immunofluorescence : 2-4ug/ml
Flow Cytometry : 1-3ug/million cells
Direct ELISA : 0.1-0.5ug/ml
Limitations This Mcam antibody is available for research use only.
Review this product on BioCompare and get a $20 Amazon gift card

Related Products

Description

In humans, the CD146 protein is encoded by the MCAM gene. It is mapped to 9; 9 A5.1. CD146 (cluster of differentiation 146) also known as the melanoma cell adhesion molecule (MCAM) or cell surface glycoprotein MUC18, is a 113kDa cell adhesion molecule currently used as a marker for endothelial cell lineage. MCAM functions as a receptor for laminin alpha 4, a matrix molecule that is broadly expressed within the vascular wall. Accordingly, MCAM is highly expressed by cells that are components of the blood vessel wall, including vascular endothelial cells, smooth muscle cells and pericytes. Its function is still poorly understood, but evidence points to it being part of the endothelial junction associated with the actin cytoskeleton. A member of the Immunoglobulin superfamily, it consists of five Ig domains, a transmembrane domain, and a cytoplasmic region. It is expressed on chicken embryonic spleen and thymus, activated human T cells, endothelial progenitors such as angioblasts and mesenchymal stem cells, and strongly expressed on blood vessel endothelium and smooth muscle.

Application Notes

Optimal dilution of the Mcam antibody should be determined by the researcher.

Immunogen

Recombinant mouse protein (amino acids E27-E621) was used as the immunogen for the Mcam antibody.

Storage

After reconstitution, the Mcam antibody can be stored for up to one month at 4oC. For long-term, aliquot and store at -20oC. Avoid repeated freezing and thawing.

Cross
Bulk Quote Request Form
Name*:
Organization*:
Email*:
Phone Number*:
Catalog No.*:
Comments and Specifics(amount, formulation, etc.)*:
Validation code: Captchapackage Image


Can't read the image? click here to refresh.
    *required field

Your bulk quote request has been submitted successfully!

Please contact us if you have any questions.