• Tel: 858.663.9055
  • SeparatorEmail: info@nsjbio.com
  • Tel: 858.663.9055
  • Email: info@nsjbio.com
Home >> Antibodies >> CD146 Antibody

CD146 Antibody [clone 2H12] (RQ5939)

  Catalog No Formulation Size Price (USD)  
Image RQ5939 0.5mg/ml if reconstituted with 0.2ml sterile DI water 100 ug 439
Bulk quote request
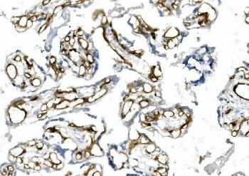
IHC staining of frozen human placenta with CD146 antibody.
IHC staining of FFPE human rectal cancer with CD146 antibody. HIER: boil tissue sections in pH8 EDTA for 20 min and allow to cool before testing.
Western blot testing of human 1) placenta, 2) A375 and 3) HeLa lysate with CD146 antibody. Observed molecular weight 70-120 kDa depending on glycosylation level.
Availability 1-3 business days
Species Reactivity Human
Format Antigen affinity purified
Clonality Monoclonal (mouse origin)
Isotype Mouse IgG1
Clone Name 2H12
Purity Affinity purified
Buffer Lyophilized from 1X PBS with 2% Trehalose and 0.025% sodium azide
UniProt P43121
Localization Cell surface, cytoplasmic
Applications Western Blot : 0.5-1ug/ml
Immunohistochemistry (FFPE & Frozen) : 1-2ug/ml
Limitations This CD146 antibody is available for research use only.
Review this product on BioCompare and get a $20 Amazon gift card

Related Products

Description

CD146 (cluster of differentiation 146), also known as the melanoma cell adhesion molecule (MCAM) or cell surface glycoprotein MUC18, is a 113kDa cell adhesion molecule currently used as a marker for endothelial cell lineage. MCAM, a member of the immunoglobulin superfamily, is homologous to several cell adhesion molecules and is associated with tumor progression and the development of metastasis in human malignant melanoma. By radiation hybrid analysis, this gene is mapped to chromosome 11q23.3. MCAM has been demonstrated to appear on a small subset of T and B lymphocytes in the peripheral blood of healthy individuals. MCAM has been seen as a marker for mesenchymal stem cells isolated from multiple adult and fetal organs, and its expression may be linked to multipotency mesenchymal stem cells with greater differentiation potential express higher levels of MCAM on the cell surface.

Application Notes

Optimal dilution of the CD146 antibody should be determined by the researcher.

Immunogen

Recombinant human protein (amino acids H59-A401) was used as the immunogen for the CD146 antibody.

Storage

After reconstitution, the CD146 antibody can be stored for up to one month at 4oC. For long-term, aliquot and store at -20oC. Avoid repeated freezing and thawing.

Cross
Bulk Quote Request Form
Name*:
Organization*:
Email*:
Phone Number*:
Catalog No.*:
Comments and Specifics(amount, formulation, etc.)*:
Validation code: Captchapackage Image


Can't read the image? click here to refresh.
    *required field

Your bulk quote request has been submitted successfully!

Please contact us if you have any questions.