• Tel: 858.663.9055
  • SeparatorEmail: info@nsjbio.com
  • Tel: 858.663.9055
  • Email: info@nsjbio.com
Home >> Antibodies >> CD141 Antibody / Thrombomodulin

CD141 Antibody / Thrombomodulin [clone COO-20] (RQ5173)

  Catalog No Formulation Size Price (USD)  
Image RQ5173 Antibody in PBS with 0.02% sodium azide, 50% glycerol and 0.4-0.5mg/ml BSA 100 ul 439
Microvalidated Rab Mono Image
Bulk quote request
Western blot testing of human placenta lysate with CD141 antibody. Expected molecular weight: 60-100 kDa depending on glycosylation.
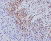
IHC staining of FFPE human bladder tissue with CD141 antibody. HIER: boil tissue sections in pH6, 10mM citrate buffer, for 10-20 min and allow to cool before testing.
Availability 1-2 weeks
Species Reactivity Human
Format Purified
Clonality Rabbit Monoclonal
Isotype Rabbit IgG
Clone Name COO-20
Purity Affinity purified
UniProt P07204
Localization Cell membrane, cytoplasmic
Applications Western Blot : 1:500-1:2000
Immunohistochemistry (FFPE) : 1:50-1:200
Limitations This CD141 antibody is available for research use only.
Review this product on BioCompare and get a $20 Amazon gift card

Related Products

Description

The protein encoded by the intronless THBD gene is an endothelial-specific type I membrane receptor that binds thrombin. This binding results in the activation of protein C, which degrades clotting factors Va and VIIIa and reduces the amount of thrombin generated. Mutations in this gene are a cause of thromboembolic disease, also known as inherited thrombophilia. [RefSeq]

Application Notes

Optimal dilution of the CD141 antibody should be determined by the researcher.

Immunogen

A synthetic peptide specific to human Thrombomodulin / CD141 was used as the immunogen for the CD141 antibody.

Storage

Store the CD141 antibody at -20oC.

Cross
Bulk Quote Request Form
Name*:
Organization*:
Email*:
Phone Number*:
Catalog No.*:
Comments and Specifics(amount, formulation, etc.)*:
Validation code: Captchapackage Image


Can't read the image? click here to refresh.
    *required field

Your bulk quote request has been submitted successfully!

Please contact us if you have any questions.