• Tel: 858.663.9055
  • SeparatorEmail: info@nsjbio.com
  • Tel: 858.663.9055
  • Email: info@nsjbio.com
Home >> Antibodies >> CD137L Antibody / 4-1BBL / TNFSF9

CD137L Antibody / 4-1BBL / TNFSF9 [clone CD137L/1547] (V8184BTN)

  Catalog No Formulation Size Price (USD)  
Image V8184BTN 0.1 mg/ml with 0.1 mg/ml BSA (US sourced), 0.05% sodium azide 500 ul 539
Bulk quote request
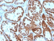
IHC staining of FFPE human kidney with CD137L antibody. HIER: boil tissue sections in pH 9 10mM Tris with 1mM EDTA for 10-20 min and allow to cool before testing.
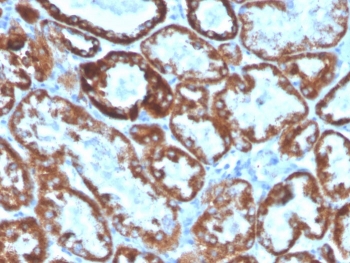
IHC staining of FFPE human kidney with CD137L antibody. HIER: boil tissue sections in pH 9 10mM Tris with 1mM EDTA for 10-20 min and allow to cool before testing.
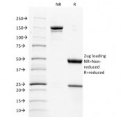
SDS-PAGE analysis of purified, BSA-free CD137L antibody as confirmation of integrity and purity.
Flow cytometry testing of PFA-fixed human 293 cells with unlabeled CD137L antibody; Red=isotype control, Blue= CD137L antibody.
Availability 1-3 business days
Species Reactivity Human
Format Biotin Conjugate
Clonality Monoclonal (mouse origin)
Isotype Mouse IgG2a, kappa
Clone Name CD137L/1547
Purity Protein G affinity chromatography
UniProt P41273
Localization Cell surface, cytoplasmic
Applications Flow Cytometry : 2-4ug/million cells in 0.1ml
Immunohistochemistry (FFPE) : 2-4ug/ml for 30 minutes at RT
Limitations This CD137L antibody is available for research use only.
Review this product on BioCompare and get a $20 Amazon gift card

Related Products

Description

TNFSF9 / 4-1BBL is a cytokine that belongs to the tumor necrosis factor (TNF) ligand family. This transmembrane cytokine is a bidirectional signal transducer that acts as a ligand for TNFRSF9 / 4-1BB, which is a costimulatory receptor molecule in T lymphocytes. This cytokine and its receptor are involved in the antigen presentation process and in the generation of cytotoxic T cells. The receptor TNFRSF9 / 4-1BB is absent from resting T lymphocytes but rapidly expressed upon antigenic stimulation. It has been shown to reactivate anergic T lymphocytes in addition to promoting T lymphocyte proliferation. This cytokine is required for the optimal CD8 responses in CD8 T cells. This cytokine is expressed in carcinoma cell lines, and is thought to be involved in T cell-tumor cell interaction.

Application Notes

Optimal dilution of the CD137L antibody should be determined by the researcher.

Immunogen

Recombinant full-length human CD137L protein was used as the immunogen for the CD137L antibody.

Storage

Store the CD137L antibody at 2-8oC (up to one month) or aliquot and store at -20oC (longer term).

Cross
Bulk Quote Request Form
Name*:
Organization*:
Email*:
Phone Number*:
Catalog No.*:
Comments and Specifics(amount, formulation, etc.)*:
Validation code: Captchapackage Image


Can't read the image? click here to refresh.
    *required field

Your bulk quote request has been submitted successfully!

Please contact us if you have any questions.