• Tel: 858.663.9055
  • SeparatorEmail: info@nsjbio.com
  • Tel: 858.663.9055
  • Email: info@nsjbio.com
Home >> Antibodies >> CD137L Antibody / 4-1BBL / TNFSF9

CD137L Antibody / 4-1BBL / TNFSF9 [clone CD137L/1547] (V8184)

  Catalog No Formulation Size Price (USD)  
Image V8184-100UG 0.2 mg/ml in 1X PBS with 0.1 mg/ml BSA (US sourced) and 0.05% sodium azide 100 ug 539
Image
V8184-20UG 0.2 mg/ml in 1X PBS with 0.1 mg/ml BSA (US sourced) and 0.05% sodium azide 20 ug 249
Image
V8184SAF-100UG 1 mg/ml in 1X PBS; BSA free, sodium azide free 100 ug 539
Bulk quote request
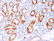
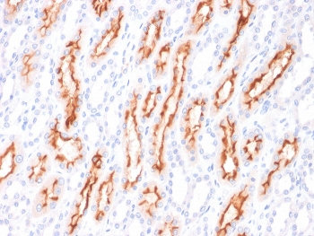
IHC staining of FFPE human renal cell carcinoma with CD137L antibody. HIER: boil tissue sections in pH 9 10mM Tris with 1mM EDTA for 10-20 min and allow to cool before testing.
IHC staining of FFPE human renal cell carcinoma with CD137L antibody. HIER: boil tissue sections in pH 9 10mM Tris with 1mM EDTA for 10-20 min and allow to cool before testing.
Flow cytometry testing of PFA-fixed human 293 cells with CD137L antibody; Red=isotype control, Blue= CD137L antibody.
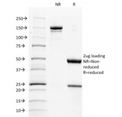
SDS-PAGE analysis of purified, BSA-free CD137L antibody as confirmation of integrity and purity.
Availability 1-3 business days
Species Reactivity Human
Format Purified
Clonality Monoclonal (mouse origin)
Isotype Mouse IgG2a, kappa
Clone Name CD137L/1547
Purity Protein G affinity chromatography
UniProt P41273
Localization Cell surface, cytoplasmic
Applications Flow Cytometry : 1-2ug/10^6 cells in 0.1ml
Immunohistochemistry (FFPE) : 1-2ug/ml
Limitations This CD137L antibody is available for research use only.
Review this product on BioCompare and get a $20 Amazon gift card

Related Products

Description

CD137L antibody detects CD137 ligand, also known as TNFSF9, a member of the tumor necrosis factor superfamily. CD137 ligand is encoded by the TNFSF9 gene and is expressed on antigen-presenting cells, including B cells, macrophages, and dendritic cells. Interaction with its receptor CD137 (4-1BB) on T cells provides a costimulatory signal that enhances proliferation, survival, and cytokine production. Because of its role in immune regulation and therapeutic potential, CD137L antibody is important in immunology, cancer immunotherapy, and inflammation research.

CD137 ligand is a type II transmembrane protein with an intracellular tail, a transmembrane region, and a TNF homology domain that mediates receptor binding. Engagement of CD137 on T cells by CD137L amplifies T-cell receptor signaling, supporting expansion of effector T cells and promoting long-term memory responses. This costimulatory pathway enhances cytotoxic activity, making it a target for immunotherapy strategies aimed at boosting anti-tumor immunity.

The CD137L antibody clone CD137L/1547 provides specific and reproducible detection. Clone CD137L/1547 has been used in peer-reviewed studies investigating T-cell costimulation, immune checkpoint regulation, and tumor immunology. Its versatility supports use in flow cytometry, immunohistochemistry, and in vitro assays examining ligand expression and function.

Research using clone CD137L/1547 has clarified how CD137-CD137L interactions modulate immune responses in cancer, viral infection, and autoimmunity. In oncology, upregulation of this pathway promotes antitumor T-cell activity, while in autoimmunity, it can exacerbate inflammation. The antibody has also been applied in studies of therapeutic agonists targeting CD137 signaling, providing a framework for translational research into immune modulation.

NSJ Bioreagents provides this CD137L antibody to support immunology, cancer immunotherapy, and inflammation studies. Alternate designations include TNFSF9 antibody, 4-1BB ligand antibody, CD137 ligand antibody, tumor necrosis factor ligand superfamily member 9 antibody, and costimulatory molecule antibody.

Application Notes

Optimal dilution of the CD137L antibody should be determined by the researcher.

Immunogen

A recombinant full-length human CD137L protein was used as the immunogen for the CD137L antibody.

Storage

Store the CD137L antibody at 2-8oC (with azide) or aliquot and store at -20oC or colder (without azide).

Cross
Bulk Quote Request Form
Name*:
Organization*:
Email*:
Phone Number*:
Catalog No.*:
Comments and Specifics(amount, formulation, etc.)*:
Validation code: Captchapackage Image


Can't read the image? click here to refresh.
    *required field

Your bulk quote request has been submitted successfully!

Please contact us if you have any questions.