• Tel: 858.663.9055
  • SeparatorEmail: info@nsjbio.com
  • Tel: 858.663.9055
  • Email: info@nsjbio.com
Home >> Antibodies >> CD137 Antibody / 4-1BB / TNFRSF9

CD137 Antibody / 4-1BB / TNFRSF9 [clone 4-1BB/3201] (V7567)

  Catalog No Formulation Size Price (USD)  
Image V7567-100UG 0.2 mg/ml in 1X PBS with 0.1 mg/ml BSA (US sourced) and 0.05% sodium azide 100 ug 539
Image
V7567-20UG 0.2 mg/ml in 1X PBS with 0.1 mg/ml BSA (US sourced) and 0.05% sodium azide 20 ug 249
Image
V7567SAF-100UG 1 mg/ml in 1X PBS; BSA free, sodium azide free 100 ug 539
Image
V7567IHC-7ML Prediluted in 1X PBS with 0.1 mg/ml BSA (US sourced) and 0.05% sodium azide; *For IHC use only* 7 ml 539
Microvalidated
Bulk quote request
Immunofluorescence staining of MeOH-fixed human HEK293 cells with CD137 antibody (green, clone 4-1BB/3201) and Reddot nuclear stain (red).
IHC staining of FFPE human spleen with CD137 antibody (clone 4-1BB/3201). HIER: boil tissue sections in pH9 10mM Tris with 1mM EDTA for 10-20 min and allow to cool before testing.
IHC staining of FFPE human cerebellum with CD137 antibody (clone 4-1BB/3201). HIER: boil tissue sections in pH9 10mM Tris with 1mM EDTA for 10-20 min and allow to cool before testing.
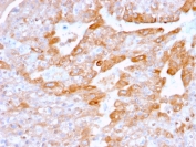
IHC staining of FFPE human renal cell carcinoma with CD137 antibody (clone 4-1BB/3201). HIER: boil tissue sections in pH9 10mM Tris with 1mM EDTA for 10-20 min and allow to cool before testing.
IHC staining of FFPE human renal cell carcinoma with CD137 antibody (clone 4-1BB/3201). HIER: boil tissue sections in pH9 10mM Tris with 1mM EDTA for 10-20 min and allow to cool before testing.
Flow cytometry testing of MeOH-fixed human HEK293 cells with CD137 antibody (clone 4-1BB/3201); Red=isotype control, Blue= CD137 mAb.
Analysis of HuProt(TM) microarray containing more than 19,000 full-length human proteins using CD137 antibody (clone 4-1BB/3201). These results demonstrate the foremost specificity of the 4-1BB/3201 mAb.
Z- and S- score: The Z-score represents the strength of a signal that an antibody (in combination with a fluorescently-tagged anti-IgG secondary Ab) produces when binding to a particular protein on the HuProt(TM) array. Z-scores are described in units of standard deviations (SD's) above the mean value of all signals generated on that array. If the targets on the HuProt(TM) are arranged in descending order of the Z-score, the S-score is the difference (also in units of SD's) between the Z-scores. The S-score therefore represents the relative target specificity of an Ab to its intended target.
Western blot testing of human kidney lysate with CD137 antibody. Expected molecular weight: ~30 kDa monomer and 55-60 kDa dimer. Higher molecular weights may be observed due to glycosylation.
Availability 1-3 business days
Species Reactivity Human
Format Purified
Clonality Monoclonal (mouse origin)
Isotype Mouse IgG1, kappa
Clone Name 4-1BB/3201
Purity Protein G affinity chromatography
UniProt Q07011
Localization Cell surface, cytoplasmic
Applications ELISA : order BSA/sodium azide-free format for coating
Immunofluorescence : 1-2ug/ml
Flow Cytometry : 1-2ug/million cells
Immunohistochemistry (FFPE) : 1-2ug/ml for 30 min at RT
Western Blot : 1-2ug/ml
Limitations This CD137 antibody is available for research use only.
Review this product on BioCompare and get a $20 Amazon gift card

Related Products

Description

CD137 belongs to the tumor necrosis factor receptor family and delivers a costimulatory signal to T lymphocytes. It is expressed on activated T cells and binds an inducible ligand that is found on B cells, macrophages and dendritic cells. Interactions between CD137 and its ligand are involved in antigen presentation and the generation of cytotoxic T cells. CD137 antibody may improve cancer treatment, and has been implicated in breast cancer, melanoma and lymphoma.

Application Notes

Optimal dilution of the CD137 antibody should be determined by the researcher.
1. The prediluted format is supplied in a dropper bottle and is optimized for use in IHC. After epitope retrieval step (if required), drip mAb solution onto the tissue section and incubate at RT for 30 min.

Immunogen

A recombinant human CD137 protein fragment within amino acids 19-188 was used as the immunogen for the CD137 antibody.

Storage

Store the CD137 antibody at 2-8oC (with azide) or aliquot and store at -20oC or colder (without azide).

Cross
Bulk Quote Request Form
Name*:
Organization*:
Email*:
Phone Number*:
Catalog No.*:
Comments and Specifics(amount, formulation, etc.)*:
Validation code: Captchapackage Image


Can't read the image? click here to refresh.
    *required field

Your bulk quote request has been submitted successfully!

Please contact us if you have any questions.