• Tel: 858.663.9055
  • SeparatorEmail: info@nsjbio.com
  • Tel: 858.663.9055
  • Email: info@nsjbio.com
Home >> Antibodies >> CD135 Antibody / FLT3

CD135 Antibody / FLT3 [clone FLT3/9888] (V5708)

  Catalog No Formulation Size Price (USD)  
Image V5708-100UG 0.2 mg/ml in 1X PBS with 0.1 mg/ml BSA (US sourced), 0.05% sodium azide 100 ug 539
Image
V5708-20UG 0.2 mg/ml in 1X PBS with 0.1 mg/ml BSA (US sourced), 0.05% sodium azide 20 ug 249
Image
V5708SAF-100UG 1 mg/ml in 1X PBS; BSA free, sodium azide free 100 ug 539
Bulk quote request
IHC staining of FFPE human brain tissue with CD135 antibody (clone FLT3/9888). Inset: PBS used in place of primary Ab (secondary Ab negative control). HIER: boil tissue sections in pH 9 10mM Tris with 1mM EDTA for 20 min and allow to cool before testing.
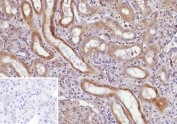
IHC staining of FFPE human kidney tissue with CD135 antibody (clone FLT3/9888). Inset: PBS used in place of primary Ab (secondary Ab negative control). HIER: boil tissue sections in pH 9 10mM Tris with 1mM EDTA for 20 min and allow to cool before testing.
SDS-PAGE analysis of purified, BSA-free CD135 antibody (clone FLT3/9888) as confirmation of integrity and purity.
Availability 1-3 business days
Species Reactivity Human
Format Purified
Clonality Monoclonal (mouse origin)
Isotype Mouse IgG1, kappa
Clone Name FLT3/9888
Purity Protein G affinity
UniProt P36888
Localization Endoplasmic reticulum lumen, Membrane
Applications Immunohistochemistry (FFPE) : 1-2ug/ml
Limitations This CD135 antibody is available for research use only.
Review this product on BioCompare and get a $20 Amazon gift card

Related Products

Description

Stem cell tyrosine kinase (STK-1) has been cloned from a CD34+ hematopoietic stem cell enriched library and identified as the human homolog of a previously identified gene of Mouse origin designated either Flk-2 or Flt-3. The STK-1 cDNA encodes a protein of 993 amino acids with 85% identity to Flt-3/Flk-2. STK-1 is a member of the type III receptor tyrosine kinase family that includes Kit (steel factor receptor), Fms and PDGF. STK-1 expression in blood and marrow is restricted to CD34+ cells, a population greatly enriched for hematopoietic stem/progenitor cells. STK-1 antiserum recognizes two polypeptides in these cells. The Mouse homolog of STK-1, designated Flt-3/Flk-2, is expressed at high levels in hematopoietic cells and also in neural, gonadal, hepatic and placental tissues. It has been suggested that STK-1 and its murine homolog Flt-3/Flk-2 may function as growth factor receptors on hematopoietic stem and/or progenitor cells.

Application Notes

Optimal dilution of the CD135 antibody should be determined by the researcher.

Immunogen

A portion of amino acids 500-800 from human FLT3 protein was used as the immunogen for the CD135 antibody.

Storage

Aliquot the CD135 antibody and store frozen at -20oC or colder. Avoid repeated freeze-thaw cycles.

Cross
Bulk Quote Request Form
Name*:
Organization*:
Email*:
Phone Number*:
Catalog No.*:
Comments and Specifics(amount, formulation, etc.)*:
Validation code: Captchapackage Image


Can't read the image? click here to refresh.
    *required field

Your bulk quote request has been submitted successfully!

Please contact us if you have any questions.