• Tel: 858.663.9055
  • SeparatorEmail: info@nsjbio.com
  • Tel: 858.663.9055
  • Email: info@nsjbio.com
Home >> Antibodies >> CD130 Antibody / IL6ST / Interleukin 6 Receptor subunit beta

CD130 Antibody / IL6ST / Interleukin 6 Receptor subunit beta (F54230)

  Catalog No Formulation Size Price (USD)  
Image F54230-0.4ML In 1X PBS, pH 7.4, with 0.09% sodium azide 0.4 ml 429
Image
F54230-0.08ML In 1X PBS, pH 7.4, with 0.09% sodium azide 0.08 ml 199
Bulk quote request
Western blot testing of human 1) HeLa, 2) MDA-MB-231, 3) HepG2, 4) SW480 and 5) A549 cell lysate with CD130 antibody. Expected molecular weight: 104-140 kDa depending on glycosylation level.
Western blot testing of human 1) A549, 2) HeLa, 3) HepG2 and 4) HT-1080 cell lysate with CD130 antibody. Expected molecular weight: 104-140 kDa depending on glycosylation level.
Western blot testing of human 1) HepG2, 2) MDA-MB-231 and 3) SW480 cell lysate with CD130 antibody. Expected molecular weight: 104-140 kDa depending on glycosylation level.
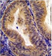
IHC testing of FFPE human uterus tissue with CD130 antibody. HIER: steam section in pH6 citrate buffer for 20 min and allow to cool prior to staining.
IHC testing of FFPE human skeletal muscle tissue with CD130 antibody. HIER: steam section in pH6 citrate buffer for 20 min and allow to cool prior to staining.
Availability 1-3 business days
Species Reactivity Human
Format Purified
Clonality Polyclonal (rabbit origin)
Isotype Rabbit Ig
Purity Antigen affinity purified
UniProt P40189
Gene ID 3572
Applications Western Blot : 1:1000-1:2000
Immunohistochemistry (FFPE) : 1:25
Limitations This CD130 antibody is available for research use only.
Review this product on BioCompare and get a $20 Amazon gift card

Related Products

Description

The protein encoded by this gene is a signal transducer shared by many cytokines, including interleukin 6 (IL6), ciliary neurotrophic factor (CNTF), leukemia inhibitory factor (LIF), and oncostatin M (OSM). This protein functions as a part of the cytokine receptor complex. The activation of this protein is dependent upon the binding of cytokines to their receptors. vIL6, a protein related to IL6 and encoded by the Kaposi sarcoma-associated herpesvirus, can bypass the interleukin 6 receptor (IL6R) and directly activate this protein. Knockout studies in mice suggest that this gene plays a critical role in regulating myocyte apoptosis. Alternatively spliced transcript variants encoding distinct isoforms have been described. A related pseudogene has been identified on chromosome 17.

Application Notes

The stated application concentrations are suggested starting points. Titration of the CD130 antibody may be required due to differences in protocols and secondary/substrate sensitivity.

Immunogen

A portion of amino acids 871-899 from the human protein were used as the immunogen for the CD130 antibody.

Storage

Aliquot the CD130 antibody and store frozen at -20oC or colder. Avoid repeated freeze-thaw cycles.

Cross
Bulk Quote Request Form
Name*:
Organization*:
Email*:
Phone Number*:
Catalog No.*:
Comments and Specifics(amount, formulation, etc.)*:
Validation code: Captchapackage Image


Can't read the image? click here to refresh.
    *required field

Your bulk quote request has been submitted successfully!

Please contact us if you have any questions.