• Tel: 858.663.9055
  • SeparatorEmail: info@nsjbio.com
  • Tel: 858.663.9055
  • Email: info@nsjbio.com
Home >> Antibodies >> CD127 Antibody / Interleukin-7 receptor

CD127 Antibody / Interleukin-7 receptor (RQ8854)

  Catalog No Formulation Size Price (USD)  
Image RQ8854 0.5mg/ml if reconstituted with 0.2ml sterile DI water 100 ug 439
Bulk quote request
Flow cytometry testing of fixed human JK cells with CD127 antibody at 1ug/million cells (blocked with goat sera); Red=cells alone, Green=isotype control, Blue= CD127 antibody.
Western blot testing of human 1) MOLT4, 2) K562 and 3) Jurkat cell lysate with CD127 antibody. Predicted molecular weight: 52-90 kDa depending on level of glycosylation; the dimer form is observed at ~150 kDa.
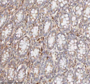
IHC staining of FFPE human colon tissue with CD127 antibody. HIER: boil tissue sections in pH8 EDTA for 20 min and allow to cool before testing.
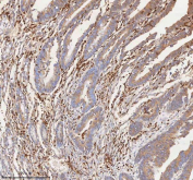
IHC staining of FFPE human colon tissue with CD127 antibody. HIER: boil tissue sections in pH8 EDTA for 20 min and allow to cool before testing.
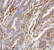
IHC staining of FFPE human colon tissue with CD127 antibody. HIER: boil tissue sections in pH8 EDTA for 20 min and allow to cool before testing.
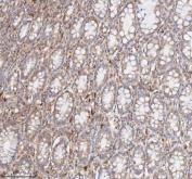
IHC staining of FFPE human colon tissue with CD127 antibody. HIER: boil tissue sections in pH8 EDTA for 20 min and allow to cool before testing.
Availability 1-2 days
Species Reactivity Human
Format Antigen affinity purified
Clonality Polyclonal (rabbit origin)
Isotype Rabbit IgG
Purity Antigen affinity chromatography
Buffer Lyophilized from 1X PBS with 2% Trehalose
UniProt P16871
Applications Western Blot : 1-2ug/ml
Immunohistochemistry (FFPE) : 2-5ug/ml
Flow Cytometry : 1-3ug/million cells
ELISA : 0.1-0.5ug/ml
Limitations This CD127 antibody is available for research use only.
Review this product on BioCompare and get a $20 Amazon gift card

Related Products

Description

The interleukin-7 receptor, also known as IL7R alpha, is a protein found on the surface of cells. It is mapped to 5p13. Interleukin-7 receptor has been shown to play a critical role in the development of immune cells called lymphocytes - specifically in a process known as V(D)J recombination. This protein is also found to control the accessibility of a region of the genome that contains the T-cell receptor gamma gene, by STAT5 and histone acetylation. Knockout studies in mice suggest that blocking apoptosis is an essential function of this protein during differentiation and activation of T lymphocytes. Functional defects in this protein may be associated with the pathogenesis of severe combined immunodeficiency (SCID).

Application Notes

Optimal dilution of the CD127 antibody should be determined by the researcher.

Immunogen

An E.coli-derived human recombinant protein (amino acids A33-Q433) was used as the immunogen for the CD127 antibody.

Storage

After reconstitution, the CD127 antibody can be stored for up to one month at 4oC. For long-term, aliquot and store at -20oC. Avoid repeated freezing and thawing.

Cross
Bulk Quote Request Form
Name*:
Organization*:
Email*:
Phone Number*:
Catalog No.*:
Comments and Specifics(amount, formulation, etc.)*:
Validation code: Captchapackage Image


Can't read the image? click here to refresh.
    *required field

Your bulk quote request has been submitted successfully!

Please contact us if you have any questions.