• Tel: 858.663.9055
  • SeparatorEmail: info@nsjbio.com
  • Tel: 858.663.9055
  • Email: info@nsjbio.com
Home >> Antibodies >> CD123 Antibody / IL3RA

CD123 Antibody / IL3RA [clone IL3RA/1531] (V7291)

  Catalog No Formulation Size Price (USD)  
Image V7291-100UG 0.2 mg/ml in 1X PBS with 0.1 mg/ml BSA (US sourced) and 0.05% sodium azide 100 ug 539
Image
V7291-20UG 0.2 mg/ml in 1X PBS with 0.1 mg/ml BSA (US sourced) and 0.05% sodium azide 20 ug 249
Image
V7291SAF-100UG 1 mg/ml in 1X PBS; BSA free, sodium azide free 100 ug 539
Image
V7291IHC-7ML Prediluted in 1X PBS with 0.1 mg/ml BSA (US sourced) and 0.05% sodium azide; *For IHC use only* 7 ml 539
Microvalidated
Bulk quote request
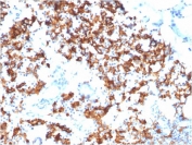
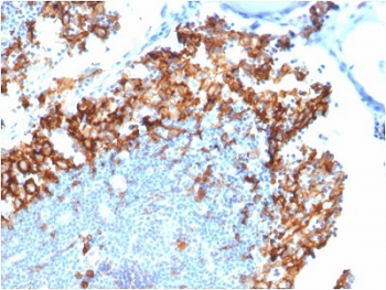
IHC staining of FFPE human lymph node with CD123 antibody. HIER: boil tissue sections in 10mM Tris with 1mM EDTA, pH 9 for 10-20 min and allow to cool.
IHC staining of FFPE human tonsil with CD123 antibody. HIER: boil tissue sections in 10mM Tris with 1mM EDTA, pH 9 for 10-20 min and allow to cool.
IHC staining of FFPE human gastric carcinoma with CD123 antibody. HIER: boil tissue sections in 10mM Tris with 1mM EDTA, pH 9 for 10-20 min and allow to cool.
Analysis of HuProt(TM) microarray containing more than 19,000 full-length human proteins using CD123 antibody (clone IL3RA/1531). These results demonstrate the foremost specificity of the IL3RA/1531 mAb.
Z- and S- score: The Z-score represents the strength of a signal that an antibody (in combination with a fluorescently-tagged anti-IgG secondary Ab) produces when binding to a particular protein on the HuProt(TM) array. Z-scores are described in units of standard deviations (SD's) above the mean value of all signals generated on that array. If the targets on the HuProt(TM) are arranged in descending order of the Z-score, the S-score is the difference (also in units of SD's) between the Z-scores. The S-score therefore represents the relative target specificity of an Ab to its intended target.
SDS-PAGE analysis of purified, BSA-free CD123 antibody (clone IL3RA/1531) as confirmation of integrity and purity.
Availability 1-3 business days
Species Reactivity Human
Format Purified
Clonality Monoclonal (mouse origin)
Isotype Mouse IgG2b, kappa
Clone Name IL3RA/1531
Purity Protein G affinity chromatography
UniProt P26951
Localization Cell surface, Cytoplasmic
Applications Immunohistochemistry (FFPE) : 1-2ug/ml
Limitations This CD123 antibody is available for research use only.
Review this product on BioCompare and get a $20 Amazon gift card

Related Products

Description

CD123 antibody detects the interleukin-3 receptor alpha chain, encoded by the IL3RA gene. CD123 is a type I cytokine receptor that pairs with the common beta chain to form a functional receptor complex for interleukin-3. It is expressed on hematopoietic progenitor cells, plasmacytoid dendritic cells, basophils, and certain leukemic blasts. Because CD123 expression is elevated in acute myeloid leukemia and other hematologic malignancies, CD123 antibody is a key reagent for immunology and oncology research.

Structurally, CD123 consists of an extracellular ligand-binding domain, a single transmembrane segment, and a cytoplasmic tail that transmits signaling through association with Janus kinases. Upon interleukin-3 binding, the receptor activates downstream pathways including JAK-STAT, PI3K, and MAPK, promoting proliferation, survival, and differentiation of hematopoietic cells. In normal physiology, this signaling supports the development of myeloid and dendritic lineages, while in malignancy, overexpression drives uncontrolled growth.

The CD123 antibody clone IL3RA/1531 provides specific and reproducible detection. Clone IL3RA/1531 has been cited in peer-reviewed studies of leukemia classification, immune cell biology, and receptor signaling. Its reliability makes it suitable for flow cytometry, immunohistochemistry, and functional assays that measure receptor distribution and density.

Research using clone IL3RA/1531 has shown how CD123 serves as both a lineage marker and a therapeutic target. In acute myeloid leukemia, high CD123 expression identifies malignant blasts and supports strategies for targeted immunotherapy, including antibody-drug conjugates and CAR T cells. In immunology, CD123 detection is used to identify plasmacytoid dendritic cells, which produce large amounts of interferon during viral infection and play roles in autoimmunity. These applications highlight the wide-ranging importance of CD123 research.

NSJ Bioreagents supplies this CD123 antibody to support oncology, immunology, and hematopoietic biology. Alternate names include IL3RA antibody, interleukin-3 receptor alpha chain antibody, IL-3 receptor subunit alpha antibody, hematopoietic receptor alpha chain antibody, and plasmacytoid dendritic cell marker antibody.

Application Notes

Optimal dilution of the CD123 antibody should be determined by the researcher.

1. The prediluted format is supplied in a dropper bottle and is optimized for use in IHC. After epitope retrieval step (if required), drip mAb solution onto the tissue section and incubate at RT for 30 min.

Immunogen

A portion of amino acids 26-171 was used as the immunogen for the CD123 antibody.

Storage

Store the CD123 antibody at 2-8oC (with azide) or aliquot and store at -20oC or colder (without azide).

Cross
Bulk Quote Request Form
Name*:
Organization*:
Email*:
Phone Number*:
Catalog No.*:
Comments and Specifics(amount, formulation, etc.)*:
Validation code: Captchapackage Image


Can't read the image? click here to refresh.
    *required field

Your bulk quote request has been submitted successfully!

Please contact us if you have any questions.