• Tel: 858.663.9055
  • SeparatorEmail: info@nsjbio.com
  • Tel: 858.663.9055
  • Email: info@nsjbio.com
Home >> Antibodies >> CD11a Antibody / LFA-1

CD11a Antibody / LFA-1 (R32698)

  Catalog No Formulation Size Price (USD)  
Image R32698 0.5mg/ml if reconstituted with 0.2ml sterile DI water 100 ug 439
Bulk quote request
Western blot testing of human 1) Jurkat and 2) CCRF-CEM cell lysate with CD11a antibody at 0.5ug/ml. Predicted molecular weight: ~129 kDa (unmodified), up to 200 kDa (glycosylated).
FACS testing of human U937 cells with CD11a antibody at 1ug/10^6 cells. Red: cells alone, Green: isotype control, Blue: CD11a antibody.
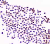
ICC staining of FFPE human U-937 cells with CD11a antibody. HIER: boil tissue sections in pH6, 10mM citrate buffer, for 10-20 min and allow to cool before testing.
Availability 1-3 business days
Species Reactivity Human
Format Antigen affinity purified
Clonality Polyclonal (rabbit origin)
Isotype Rabbit IgG
Purity Antigen affinity
Buffer Lyophilized from 1X PBS with 2.5% BSA, 0.025% sodium azide
UniProt P20701
Applications Western Blot : 0.5-1ug/ml
Flow Cytometry:1-2ug/ml :
Immunocytochemistry : 1-2ug/ml
Limitations This CD11a antibody is available for research use only.
Review this product on BioCompare and get a $20 Amazon gift card

Related Products

Description

CD11a, also known as ITGAL or LFA-1, is a human gene which functions in the immune system. It is mapped to 16p11.2. CD11a is involved in cellular adhesion and costimulatory signaling. It is the target of the drug efalizumab. CD11a encodes the integrin alpha L chain. Integrins are heterodimeric integral membrane proteins composed of an alpha chain and a beta chain. This I-domain containing alpha integrin combines with the beta 2 chain (ITGB2) to form the integrin lymphocyte function-associated antigen-1 (LFA-1), which is expressed on all leukocytes. CD11a plays a central role in leukocyte intercellular adhesion through interactions with its ligands, ICAMs 1-3 (intercellular adhesion molecules 1 through 3), and also functions in lymphocyte costimulatory signaling. It is one of the two components, along with CD18, which form lymphocyte function-associated antigen-1.

Application Notes

Optimal dilution of the CD11a antibody should be determined by the researcher.

Immunogen

Amino acids F161-L349 from the human protein were used as the immunogen for the CD11a antibody.

Storage

After reconstitution, the CD11a antibody can be stored for up to one month at 4oC. For long-term, aliquot and store at -20oC. Avoid repeated freezing and thawing.

Cross
Bulk Quote Request Form
Name*:
Organization*:
Email*:
Phone Number*:
Catalog No.*:
Comments and Specifics(amount, formulation, etc.)*:
Validation code: Captchapackage Image


Can't read the image? click here to refresh.
    *required field

Your bulk quote request has been submitted successfully!

Please contact us if you have any questions.