• Tel: 858.663.9055
  • SeparatorEmail: info@nsjbio.com
  • Tel: 858.663.9055
  • Email: info@nsjbio.com
Home >> Antibodies >> CD109 Antibody

CD109 Antibody [clone CD109/9947] (V5673)

  Catalog No Formulation Size Price (USD)  
Image V5673-100UG 0.2 mg/ml in 1X PBS with 0.1 mg/ml BSA (US sourced), 0.05% sodium azide 100 ug 539
Image
V5673-20UG 0.2 mg/ml in 1X PBS with 0.1 mg/ml BSA (US sourced), 0.05% sodium azide 20 ug 249
Image
V5673SAF-100UG 1 mg/ml in 1X PBS; BSA free, sodium azide free 100 ug 539
Bulk quote request
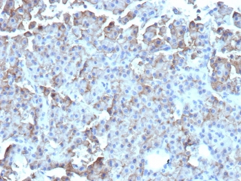
IHC staining of FFPE human parathyroid tissue with CD109 antibody (clone CD109/9947). HIER: boil tissue sections in pH 9 10mM Tris with 1mM EDTA for 20 min and allow to cool before testing.
SDS-PAGE analysis of purified, BSA-free CD109 antibody (clone CD109/9947) as confirmation of integrity and purity.
Availability 1-3 business days
Species Reactivity Human
Format Purified
Clonality Monoclonal (mouse origin)
Isotype Mouse IgG, kappa
Clone Name CD109/9947
Purity Protein A/G affinity
UniProt Q6YHK3
Localization Cell membrane
Applications Immunohistochemistry (FFPE) : 1-2ug/ml
Limitations This CD109 antibody is available for research use only.
Review this product on BioCompare and get a $20 Amazon gift card

Related Products

Description

This gene encodes a glycosyl phosphatidylinositol (GPI)-linked glycoprotein that localizes to the surface of platelets, activated T-cells, and endothelial cells. The protein binds to and negatively regulates signalling by transforming growth factor beta (TGF-beta). Multiple transcript variants encoding different isoforms have been found for this gene.

Application Notes

Optimal dilution of the CD109 antibody should be determined by the researcher.

Immunogen

A portion of amino acids 300-500 from human CD109 protein was used as the immunogen for the CD109 antibody.

Storage

Aliquot the CD109 antibody and store frozen at -20oC or colder. Avoid repeated freeze-thaw cycles.

Cross
Bulk Quote Request Form
Name*:
Organization*:
Email*:
Phone Number*:
Catalog No.*:
Comments and Specifics(amount, formulation, etc.)*:
Validation code: Captchapackage Image


Can't read the image? click here to refresh.
    *required field

Your bulk quote request has been submitted successfully!

Please contact us if you have any questions.