• Tel: 858.663.9055
  • SeparatorEmail: info@nsjbio.com
  • Tel: 858.663.9055
  • Email: info@nsjbio.com
Home >> Antibodies >> CD105 Antibody

CD105 Antibody (R32935)

  Catalog No Formulation Size Price (USD)  
Image R32935 0.5mg/ml if reconstituted with 0.2ml sterile DI water 100 ug 439
Bulk quote request
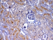
IHC testing of FFPE mouse kidney tissue with CD105 antibody at 1ug/ml. Required HIER: steam section in pH6 citrate buffer for 20 min and allow to cool prior to testing.
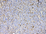
IHC testing of FFPE mouse liver tissue with CD105 antibody at 1ug/ml. Required HIER: steam section in pH6 citrate buffer for 20 min and allow to cool prior to testing.
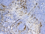
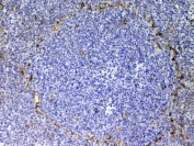
IHC testing of FFPE mouse spleen tissue with CD105 antibody at 1ug/ml. Required HIER: steam section in pH6 citrate buffer for 20 min and allow to cool prior to testing.
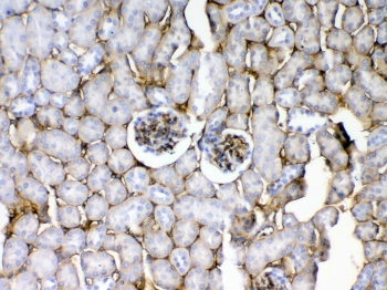
IHC testing of FFPE rat kidney tissue with CD105 antibody at 1ug/ml. Required HIER: steam section in pH6 citrate buffer for 20 min and allow to cool prior to testing.
IHC testing of FFPE rat liver tissue with CD105 antibody at 1ug/ml. Required HIER: steam section in pH6 citrate buffer for 20 min and allow to cool prior to testing.
IHC testing of FFPE rat spleen tissue with CD105 antibody at 1ug/ml. Required HIER: steam section in pH6 citrate buffer for 20 min and allow to cool prior to testing.
Western blot testing of mouse lung tissue lysate with CD105 antibody at 0.5ug/ml. Expected molecular weight: 70/90 kDa (monomer, unmodified/glycosylated); 140-180 kDa (dimer, unmodified/glycosylated).
Availability 1-3 business days
Species Reactivity Mouse, Rat
Format Antigen affinity purified
Clonality Polyclonal (rabbit origin)
Isotype Rabbit IgG
Purity Antigen affinity
Buffer Lyophilized from 1X PBS with 2.5% BSA, 0.025% sodium azide
UniProt Q63961
Localization Cell surface, cytoplasmic
Applications Western Blot : 0.5-1ug/ml
IHC (FFPE) : 1-2ug/ml
Direct ELISA (recombinant Mouse Protein) : 0.1-0.5ug/ml (BSA-free format available)
Limitations This CD105 antibody is available for research use only.
Review this product on BioCompare and get a $20 Amazon gift card

Related Products

Description

Endoglin (Osler-Rendu-Weber syndrome 1), CD105, is a type I membrane glycoprotein located on cell surfaces and is a part of the TGF beta receptor complex. Its gene is mapped to human chromosome 8. The protein consists of a homodimer of 180 kDA with disulfide links. It has been found on endothelial cells, activated macrophages, fibroblasts and smooth muscle cells. Endoglin has a role in the development of the cardiovascular system and in vascular remodeling and has been found to be elevated in pregnant women who subsequently develop preeclampsia.

Application Notes

Optimal dilution of the CD105 antibody should be determined by the researcher.

Immunogen

A recombinant mouse protein corresponding to amino acids E27-L226 was used as the immunogen for the CD105 antibody.

Storage

After reconstitution, the CD105 antibody can be stored for up to one month at 4oC. For long-term, aliquot and store at -20oC. Avoid repeated freezing and thawing.

Cross
Bulk Quote Request Form
Name*:
Organization*:
Email*:
Phone Number*:
Catalog No.*:
Comments and Specifics(amount, formulation, etc.)*:
Validation code: Captchapackage Image


Can't read the image? click here to refresh.
    *required field

Your bulk quote request has been submitted successfully!

Please contact us if you have any questions.