• Tel: 858.663.9055
  • SeparatorEmail: info@nsjbio.com
  • Tel: 858.663.9055
  • Email: info@nsjbio.com
Home >> Antibodies >> CD10 Antibody / Neprilysin

CD10 Antibody / Neprilysin [clone MME/6714] (V9410)

  Catalog No Formulation Size Price (USD)  
Image V9410-100UG 0.2 mg/ml in 1X PBS with 0.1 mg/ml BSA (US sourced), 0.05% sodium azide 100 ug 539
Image
V9410-20UG 0.2 mg/ml in 1X PBS with 0.1 mg/ml BSA (US sourced), 0.05% sodium azide 20 ug 249
Image
V9410SAF-100UG 1 mg/ml in 1X PBS; BSA free, sodium azide free 100 ug 539
Bulk quote request
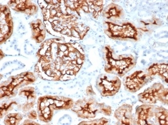
IHC staining of FFPE human kidney tissue with CD10 antibody (clone MME/6714). HIER: boil tissue sections in pH 9 10mM Tris with 1mM EDTA for 20 min and allow to cool before testing.
IHC staining of FFPE human prostate tissue with CD10 antibody (clone MME/6714). HIER: boil tissue sections in pH 9 10mM Tris with 1mM EDTA for 20 min and allow to cool before testing.
Negative control: IHC staining of FFPE human brain tissue with CD10 antibody (clone MME/6714) at 2ug/ml in PBS for 30min RT. HIER: boil tissue sections in pH 9 10mM Tris with 1mM EDTA for 20 min and allow to cool before testing.
SDS-PAGE analysis of purified, BSA-free CD10 antibody (clone MME/6714) as confirmation of integrity and purity.
Western blot testing of human kidney tissue lysate with CD10 antibody. Routinely visualized at ~100 kDa.
Western blot testing of human kidney tissue lysate with CD10 antibody. Routinely visualized at ~100 kDa.
Availability 1-3 business days
Species Reactivity Human
Format Purified
Clonality Monoclonal (mouse origin)
Isotype Mouse IgG2b, kappa
Clone Name MME/6714
Purity Protein A/G affinity
UniProt P08473
Localization Cell surface, Cytoplasm
Applications Immunohistochemistry (FFPE) : 1-2ug/ml
Western Blot : 2-4ug/ml
Limitations This CD10 antibody is available for research use only.
Review this product on BioCompare and get a $20 Amazon gift card

Related Products

Description

Recognizes a 100kDa glycoprotein, identified as CD10, also known as Common Acute Lymphocytic Leukemia Antigen (CALLA). It is a cell surface enzyme with neutral metalloendopeptidase activity, which inactivates a variety of biologically active peptides. CD10 is expressed on the cells of lymphoblastic, Burkitt s, and follicular germinal center lymphomas, and on cells from patients with chronic myelocytic leukemia (CML). It is also expressed on the surface of normal early lymphoid progenitor cells, immature B cells within adult bone marrow and germinal center B cells within lymphoid tissue. CD10 is also present on breast myoepithelial cells, bile canaliculi, fibroblasts, with especially high expression on the brush border of kidney and gut epithelial cells.

Application Notes

Optimal dilution of the CD10 antibody should be determined by the researcher.

Immunogen

A portion of amino acids 54-181 was used as the immunogen for the CD10 antibody.

Storage

Aliquot the CD10 antibody and store frozen at -20oC or colder. Avoid repeated freeze-thaw cycles.

Cross
Bulk Quote Request Form
Name*:
Organization*:
Email*:
Phone Number*:
Catalog No.*:
Comments and Specifics(amount, formulation, etc.)*:
Validation code: Captchapackage Image


Can't read the image? click here to refresh.
    *required field

Your bulk quote request has been submitted successfully!

Please contact us if you have any questions.