• Tel: 858.663.9055
  • SeparatorEmail: info@nsjbio.com
  • Tel: 858.663.9055
  • Email: info@nsjbio.com
Home >> Antibodies >> CCS Antibody

CCS Antibody (R32635)

  Catalog No Formulation Size Price (USD)  
Image R32635 0.5mg/ml if reconstituted with 0.2ml sterile DI water 100 ug 439
Bulk quote request
Western blot testing of 1) rat brain, 2) rat spleen, 3) mouse brain, 4) mouse spleen and 5) human 293T lysate with CCS antibody at 0.5ug/ml. Predicted molecular weight ~34 kDa.
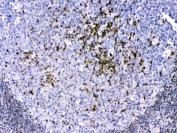
IHC testing of FFPE human tonsil tissue with CCS antibody a 1ug/ml. Required HIER: steam section in pH6 citrate buffer for 20 min and allow to cool prior to testing.
Availability 1-3 business days
Species Reactivity Human, Mouse, Rat
Format Antigen affinity purified
Clonality Polyclonal (rabbit origin)
Isotype Rabbit IgG
Purity Antigen affinity
Buffer Lyophilized from 1X PBS with 2.5% BSA, 0.025% sodium azide
UniProt O14618
Localization Cytoplasmic, nuclear
Applications Western Blot : 0.5-1ug/ml
IHC (FFPE) : 1-2ug/ml
Limitations This CCS antibody is available for research use only.
Review this product on BioCompare and get a $20 Amazon gift card

Description

Copper chaperone for superoxide dismutase (CCS, SOD4) is a metalloprotein that is responsible for the delivery of Cu to superoxide dismutase (SOD1). In humans the protein is encoded by the CCS gene. And this gene is mapped to chromosome 11q13 by fluorescence in situ hybridization. The CCS protein is present in mammals and most eukaryotes including yeast. The structure of CCS is composed of three distinct domains that are necessary for its function. Although CCS is important for many organisms, there are CCS independent pathways for SOD1, and many species lack CCS all together, such as C. elegans.

Application Notes

Optimal dilution of the CCS antibody should be determined by the researcher.

Immunogen

Amino acids 174-209 (DADGRAIFRMEDEQLKVWDVIGRSLIIDEGEDDLGR) from the human protein were used as the immunogen for the CCS antibody.

Storage

After reconstitution, the CCS antibody can be stored for up to one month at 4oC. For long-term, aliquot and store at -20oC. Avoid repeated freezing and thawing.

Cross
Bulk Quote Request Form
Name*:
Organization*:
Email*:
Phone Number*:
Catalog No.*:
Comments and Specifics(amount, formulation, etc.)*:
Validation code: Captchapackage Image


Can't read the image? click here to refresh.
    *required field

Your bulk quote request has been submitted successfully!

Please contact us if you have any questions.