• Tel: 858.663.9055
  • SeparatorEmail: info@nsjbio.com
  • Tel: 858.663.9055
  • Email: info@nsjbio.com
Home >> Antibodies >> CCR4-NOT transcription complex subunit 4 Antibody / CNOT4

CCR4-NOT transcription complex subunit 4 Antibody / CNOT4 (F54694)

  Catalog No Formulation Size Price (USD)  
Image F54694-0.4ML In 1X PBS, pH 7.4, with 0.09% sodium azide 0.4 ml 429
Image
F54694-0.08ML In 1X PBS, pH 7.4, with 0.09% sodium azide 0.08 ml 199
Bulk quote request
Western blot testing of human 1) MCF7, 2) K562 and 3) HEK293 cell lysate with CCR4-NOT transcription complex subunit 4 antibody. Expected molecular weight: 48-84 kDa (multiple isoforms).
Western blot testing of mouse cerebellum tissue lysate with CCR4-NOT transcription complex subunit 4 antibody. Expected molecular weight: 48-84 kDa (multiple isoforms).
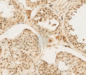
IHC testing of FFPE human testis tissue with CCR4-NOT transcription complex subunit 4 antibody. HIER: steam section in pH6 citrate buffer for 20 min and allow to cool prior to staining.
Flow cytometry testing of fixed and permeabilized human U-2 OS cells with CCR4-NOT transcription complex subunit 4 antibody; Blue=isotype control, Green= CCR4-NOT transcription complex subunit 4 antibody.
Availability 1-3 business days
Species Reactivity Human, Mouse
Format Purified
Clonality Polyclonal (rabbit origin)
Isotype Rabbit Ig
Purity Antigen affinity purified
UniProt O95628
Localization Cytoplasmic, nuclear
Applications Western Blot : 1:500-1:2000
Flow Cytometry : 1:25 (1x10e6 cells)
Immunohistochemistry (FFPE) : 1:25
Limitations This CCR4-NOT transcription complex subunit 4 antibody is available for research use only.
Review this product on BioCompare and get a $20 Amazon gift card

Description

CNOT4 has intrinsic E3 ubiquitin ligase activity. Binding of the CNOT4 RING finger to the ubiquitin-conjugating enzyme (E2) UbcH5B is highly selective. The CCR4-NOT complex functions as a global regulator of RNA polymerase II transcription.

Application Notes

The stated application concentrations are suggested starting points. Titration of the CCR4-NOT transcription complex subunit 4 antibody may be required due to differences in protocols and secondary/substrate sensitivity.

Immunogen

Recombinant human protein was used as the immunogen for the CCR4-NOT transcription complex subunit 4 antibody.

Storage

Aliquot the CCR4-NOT transcription complex subunit 4 antibody and store frozen at -20oC or colder. Avoid repeated freeze-thaw cycles.

Cross
Bulk Quote Request Form
Name*:
Organization*:
Email*:
Phone Number*:
Catalog No.*:
Comments and Specifics(amount, formulation, etc.)*:
Validation code: Captchapackage Image


Can't read the image? click here to refresh.
    *required field

Your bulk quote request has been submitted successfully!

Please contact us if you have any questions.