• Tel: 858.663.9055
  • SeparatorEmail: info@nsjbio.com
  • Tel: 858.663.9055
  • Email: info@nsjbio.com
Home >> Antibodies >> CCR2 Antibody

CCR2 Antibody (RQ5799)

  Catalog No Formulation Size Price (USD)  
Image RQ5799 0.5mg/ml if reconstituted with 0.2ml sterile DI water 100 ug 439
Bulk quote request
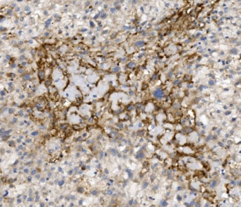
IHC staining of FFPE human liver cancer with CCR2 antibody. HIER: boil tissue sections in pH8 EDTA for 20 min and allow to cool before testing.
IHC staining of FFPE human liver cancer with CCR2 antibody. HIER: boil tissue sections in pH8 EDTA for 20 min and allow to cool before testing.
Western blot testing of human HL-60 lysate with CCR2 antibody. Predicted molecular weight ~42 kDa.
Flow cytometry testing of human PBM cells with CCR2 antibody at 1ug/million cells (blocked with goat sera); Red=cells alone, Green=isotype control, Blue= CCR2 antibody.
Availability 1-3 business days
Species Reactivity Human
Format Antigen affinity purified
Clonality Polyclonal (rabbit origin)
Isotype Rabbit IgG
Purity Affinity purified
Buffer Lyophilized from 1X PBS with 2% Trehalose and 0.025% sodium azide
UniProt P41597
Applications Western Blot : 0.5-1ug/ml
Immunohistochemistry : 1-2ug/ml
Flow Cytometry : 1-3ug/million cells
Direct ELISA : 0.1-0.5ug/ml
Limitations This CCR2 antibody is available for research use only.
Review this product on BioCompare and get a $20 Amazon gift card

Related Products

  • Applications : WB, IHC-P, IF, FACS
    Reactivity : Human
  • Applications : WB, ELISA
    Reactivity : Human
  • Applications : WB, IHC-P, Direct ELISA
    Reactivity : Human

Description

C-C chemokine receptor type 2 (CCR2 or CD192 (cluster of differentiation 192) is a protein that in humans is encoded by the CCR2 gene. It is mapped to 3p21.31. The protein encoded by this gene is a receptor for monocyte chemoattractant protein-1, a chemokine which specifically mediates monocyte chemotaxis. Monocyte chemoattractant protein-1 is involved in monocyte infiltration in inflammatory diseases such as rheumatoid arthritis as well as in the inflammatory response against tumors. The encoded protein mediates agonist-dependent calcium mobilization and inhibition of adenylyl cyclase. This protein can also be a coreceptor with CD4 for HIV-1 infection.

Application Notes

Optimal dilution of the CCR2 antibody should be determined by the researcher.

Immunogen

Recombinant human protein (amino acids E18-F53) was used as the immunogen for the CCR2 antibody.

Storage

After reconstitution, the CCR2 antibody can be stored for up to one month at 4oC. For long-term, aliquot and store at -20oC. Avoid repeated freezing and thawing.

Cross
Bulk Quote Request Form
Name*:
Organization*:
Email*:
Phone Number*:
Catalog No.*:
Comments and Specifics(amount, formulation, etc.)*:
Validation code: Captchapackage Image


Can't read the image? click here to refresh.
    *required field

Your bulk quote request has been submitted successfully!

Please contact us if you have any questions.