• Tel: 858.663.9055
  • SeparatorEmail: info@nsjbio.com
  • Tel: 858.663.9055
  • Email: info@nsjbio.com
Home >> Antibodies >> CCNDBP1 Antibody

CCNDBP1 Antibody (R34900)

  Catalog No Formulation Size Price (USD)  
Image R34900-100UG 0.5 mg/ml in 1X TBS, pH7.3, with 0.5% BSA (US sourced) and 0.02% sodium azide 100 ug 449
Bulk quote request
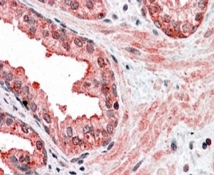
IHC testing of FFPE human prostate with CCNDBP1 at 4ug/ml. HIER: steamed with pH6 citrate buffer, AP-staining.
Availability 1-3 business days
Species Reactivity Human
Predicted Reactivity Dog
Format Antigen affinity purified
Clonality Polyclonal (goat origin)
Isotype Goat Ig
Purity Antigen affinity
Gene ID 23582
Applications Immunohistochemistry (FFPE) : 3-6ug/ml
ELISA (peptide) LOD : 1:32000
Limitations This CCNDBP1 antibody is available for research use only.
Review this product on BioCompare and get a $20 Amazon gift card

Related Products

  • Applications : WB, ELISA (peptide)
    Reactivity : Human
    Pred. Reactivity : Cow, Dog, Pig

Description

Additional name(s) for this target protein: Cyclin D-type binding-protein 1, DIP1, GCIP, MAID; CCNDBP1

Application Notes

Optimal dilution of the CCNDBP1 antibody should be determined by the researcher.

Immunogen

Amino acids NRIKELTQSELEL were used as the immunogen for this CCNDBP1 antibody.

Storage

Aliquot and store the CCNDBP1 antibody at -20oC.

Cross
Bulk Quote Request Form
Name*:
Organization*:
Email*:
Phone Number*:
Catalog No.*:
Comments and Specifics(amount, formulation, etc.)*:
Validation code: Captchapackage Image


Can't read the image? click here to refresh.
    *required field

Your bulk quote request has been submitted successfully!

Please contact us if you have any questions.