• Tel: 858.663.9055
  • SeparatorEmail: info@nsjbio.com
  • Tel: 858.663.9055
  • Email: info@nsjbio.com
Home >> Antibodies >> CCND1 Antibody

CCND1 Antibody [clone SPM587] (V9073)

  Catalog No Formulation Size Price (USD)  
Image V9073-100UG 0.2 mg/ml in 1X PBS with 0.1 mg/ml BSA (US sourced) and 0.05% sodium azide 100 ug 539
Image
V9073-20UG 0.2 mg/ml in 1X PBS with 0.1 mg/ml BSA (US sourced) and 0.05% sodium azide 20 ug 249
Image
V9073SAF-100UG 1 mg/ml in 1X PBS; BSA free, sodium azide free 100 ug 539
Image
V9073IHC-7ML Prediluted in 1X PBS with 0.1 mg/ml BSA (US sourced) and 0.05% sodium azide; *For IHC use only* 7 ml 539
Bulk quote request
IHC: Formalin-fixed, paraffin-embedded human mantle cell lymphoma stained with CCND1 antibody.
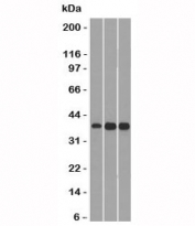
Western blot testing of 1) human HepG2, 2) mouse NIH3T3 and 3) mouse C2C12 lysate with CCND1 antibody. Expected/observed molecular weight ~32-36kDa.
Flow Cytometry testing of Jurkat cells. Black: cells alone; Green: isotype control; Red: PE-labeled Cyclin D1 antibody.
Flow Cytometry testing of MCF-7 cells. Black: cells alone; Green: isotype control; Red: PE-labeled Cyclin D1 antibody.
Availability 1-3 business days
Species Reactivity Human, Mouse
Format Purified
Clonality Monoclonal (mouse origin)
Isotype Mouse IgG2a, kappa
Clone Name SPM587
Purity Protein G affinity chromatography
UniProt P24385
Localization Nuclear
Applications Flow Cytometry : 1-2ug/10^6 cells
Western Blot : 1-2ug/ml
Immunohistochemistry (FFPE) : 1-2ug/ml for 30 min at RT
Limitations This CCND1 antibody is available for research use only.
Review this product on BioCompare and get a $20 Amazon gift card

Related Products

Description

Cyclin D1 (CCND1), one of the key cell cycle regulators, is a putative proto-oncogene overexpressed in a wide variety of human neoplasms. About 60% of mantle cell lymphomas (MCL) contain a t(11; 14)(q13; q32) translocation resulting in over-expression of Cyclin D1. This antibody is useful in identifying mantle cell lymphomas (CCND1+) from CLL/SLL and follicular lymphomas (CCND1-). Occasionally, hairy cell leukemia and plasma cell myeloma weakly express CCND1.

Application Notes

The optimal dilution of the CCND1 antibody for each application should be determined by the researcher.

1. Staining of formalin-fixed tissues requires boiling tissue sections in pH 9 10mM Tris with 1mM EDTA for 10-20 min followed by cooling at RT for 20 minutes.
2. The prediluted format is supplied in a dropper bottle and is optimized for use in IHC. After epitope retrieval step (if required), drip mAb solution onto the tissue section and incubate at RT for 30 min.

Immunogen

Recombinant full length human protein was used as the immunogen for this CCND1 antibody.

Storage

Store the CCND1 antibody at 2-8oC (with azide) or aliquot and store at -20oC or colder (without azide).

Cross
Bulk Quote Request Form
Name*:
Organization*:
Email*:
Phone Number*:
Catalog No.*:
Comments and Specifics(amount, formulation, etc.)*:
Validation code: Captchapackage Image


Can't read the image? click here to refresh.
    *required field

Your bulk quote request has been submitted successfully!

Please contact us if you have any questions.