• Tel: 858.663.9055
  • SeparatorEmail: info@nsjbio.com
  • Tel: 858.663.9055
  • Email: info@nsjbio.com
Home >> Antibodies >> CCN1 Antibody / CYR61

CCN1 Antibody / CYR61 (R31792)

  Catalog No Formulation Size Price (USD)  
Image R31792 0.5mg/ml if reconstituted with 0.2ml sterile DI water 100 ug 439
Bulk quote request
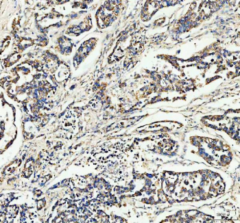
IHC staining of FFPE human lung cancer tissue with CCN1 antibody, HRP-secondary and DAB substrate. HIER: boil tissue sections in pH8 EDTA for 20 min and allow to cool before testing.
Western blot testing of 1) human SiHa, 2) human U-251, 3) human U-2 OS, 4) human A549, 5) rat lung, 6) rat kidney and 7) mouse kidney tissue lysate with CCN1 antibody. Predicted molecular weight ~42 kDa.
Availability 1-3 business days
Species Reactivity Human, Mouse, Rat
Format Antigen affinity purified
Clonality Polyclonal (rabbit origin)
Isotype Rabbit IgG
Purity Antigen affinity
Buffer Lyophilized from 1X PBS with 2% Trehalose
UniProt O00622
Applications Western Blot : 0.5-1ug/ml
Immunohistochemistry (FFPE) : 2-5ug/ml
Limitations This CCN1 antibody is available for research use only.
Review this product on BioCompare and get a $20 Amazon gift card

Description

CCN1 (CCN family member 1), also called Cysteine-rich angiogenic inducer 61 (CYR61) is a secreted matricellular protein that regulates diverse cellular functions, including adhesion, migration, proliferation, and survival. It interacts with integrins and heparan sulfate proteoglycans to modulate signaling pathways critical for development, wound healing, and angiogenesis.

CCN1 expression is induced by growth factors, cytokines, and stress signals, and it plays important roles in vascular biology, extracellular matrix remodeling, and tissue repair. Aberrant CCN1 activity has been linked to cancer progression, fibrosis, and inflammatory diseases, highlighting its relevance in both normal physiology and pathology.

Using a high-quality CCN1 antibody allows for reliable detection in applications such as western blot, immunohistochemistry, and immunofluorescence. A CCN1 antibody from NSJ Bioreagents ensures reproducibility and sensitivity for studies on angiogenesis, extracellular signaling, and disease mechanisms. Selecting the right CCN1 antibody is essential for producing consistent and meaningful results.

Application Notes

Optimal dilution of the CCN1 antibody should be determined by the researcher.

Immunogen

Amino acids 54-381 of human CCN1 were used as the immunogen for the CCN1 antibody.

Storage

After reconstitution, the CCN1 antibody can be stored for up to one month at 4oC. For long-term, aliquot and store at -20oC. Avoid repeated freezing and thawing.

Cross
Bulk Quote Request Form
Name*:
Organization*:
Email*:
Phone Number*:
Catalog No.*:
Comments and Specifics(amount, formulation, etc.)*:
Validation code: Captchapackage Image


Can't read the image? click here to refresh.
    *required field

Your bulk quote request has been submitted successfully!

Please contact us if you have any questions.